Search Dental Tribune

Лечение с Bio-Bulk fill при дълбоки кариеси

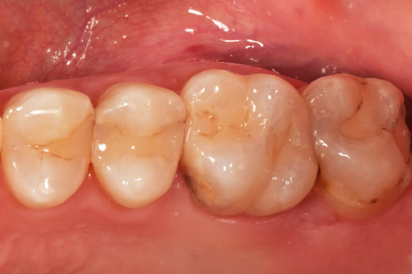
Фиг. 1: Зъб 16 с МОД кавитет и дълбок кариес два месеца след лечение с цинк-оксид-евгенолова паста.

ср. 13 ноември 2024

запази

Конвенционалният метод за лечение на кариес към момента е да се препарира кавитет и да се запълни с композит. Когато бъдат направени екзактно, фотополимерните обтурации ефективно възстановяват функциите на зъба, като тяхната ефикасност е доказана при милиони случаи. Това лечение обаче в естеството си е протетично.

Всяка обтурация, дори и най-малката, изпълнява само протетична функция. Същевременно ние знаем, че здравите емайл, дентин и пулпа са незаменими. Виталната пулпа образува дентин, захранва твърдите тъкани, провежда сигнали и участва в имунния отговор. Зъб с витална пулпа винаги е за предпочитане пред невитален такъв. Следователно зъболекарите трябва да се опитват на всяка цена да запазват твърдите тъкани и виталитета на пулпата и да избират материали и методи, които позволяват минимално инвазивен подход.

Доклад на клиничен случай

Клинични находки и симптоми
Пациент постъпи с оплакване от обострена чувствителност в зъб 16. Зъбът е бил лекуван преди два месеца с цинк-оксид-евгенолова паста поради дълбок МОД кавитет. Поради недобрите механични качества на тази временна вложка, части от дентина бяха открити, а това водеше до свръхчувствителност. При почукване и студен тест зъбът реагира нормално.

Диагноза
Дълбок кариес, неусложнен.

Процедури и лечение
След поставяне на анестезия и изолация с кофердам, бе препариран кавитет. Бе оставен деминерализиран дентин по стените около пулпната камера. По границите имаше минимум 2 мм твърди, здрави зъбни тъкани, които да подсигурят здравината на бъдещото възстановяване. Апроксималните стени бяха възстановени с А3 универсален композит след ецване и нанасяне на универсален адхезив по границите. Останалата част от кавитета бе запълнена с Biodentine до дъвкателната повърхност. 12 минути по-късно, които са необходими за първоначалното втърдяване на Biodentine, кофердамът бе премахнат и визитата приключи. Следващото посещение бе насрочено за след две седмици.

Между двата часа, пациентът не е имал болки от зъба, а чувствителността е намаляла. Реакцията при студен тест продължаваше да бъде нормална. Затова преминахме към поставяне на кофердам и премахване на външните 1,5 мм от Biodentine. При втората визита нямаше нужда от обезболяване на зъба. След селективно ецване на емайла и нанасяне на универсален адхезив, кавитета бе запълнен с един слой универсален композит А3, той бе оформен и полиран.

Фиг. 2: Зъбът след препарация.ес два месеца след лечение с цинк-оксид-евгенолова паста.

Фиг. 2: Зъбът след препарация.ес два месеца след лечение с цинк-оксид-евгенолова паста.

Фиг. 3: Възстановяване на апроксималните стени с композитен материал.

Фиг. 3: Възстановяване на апроксималните стени с композитен материал.

Фиг. 4: Запълване на останалия кавитет с Biodentine.

Фиг. 4: Запълване на останалия кавитет с Biodentine.

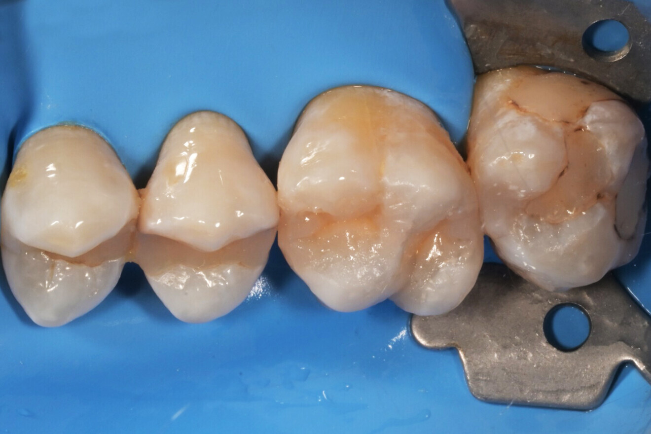
Фиг. 5: Дълготрайна временна обтурация с Biodentine.

Фиг. 5: Дълготрайна временна обтурация с Biodentine.

Фиг. 6: Зъбът две седмици по-късно. Бе поставен кофердам.

Фиг. 6: Зъбът две седмици по-късно. Бе поставен кофердам.

Проследяване
Една година по-късно, пациентът няма чувствителност, а зъбът реагира нормално при тестове за виталитет.

Дискусия
Нелекуваният кариес води до унищожаване на твърди зъбни тъкани, възпаление и дори до пулпна некроза. За предпочитане са работни методи, които биха отложили нуждата от кореново лечение и запазват твърдите зъбни тъкани и пулпния виталитет. Индиректното пулпно покритие с Biodentine отговаря на тези изисквания, предвид че Biodentine има положително въздействие върху състоянието на пулпата, стимулира реминерализацията и възстановяването на дентина и изпълнява функцията на възстановителен материал. В допълнение към това според опит на автора и на други клиницисти,  Biodentine е ефикасен и при директно пулпно покритие в случаи на необратим пулпит.

След запълване на целия кавитет с Biodentine и изчакване 12 минути, работата в първото посещение е изпълнена. За съжаление, Biodentine не е подходящ за окончателен възстановителен материал поради повишеното изтриване и неестетичния цвят. Съгласно препоръките на производителя, той може да бъде използван като дългосрочна временна обтурация за период до 6 месеца. Когато Biodentine бъде покрит със слой композит с дебелина 1,5–2 мм, се елиминират проблеми, свързани с изтриването и естетиката на обтурацията, като същевременно се запазват положителните свойства на биоактивния цимент. При това положение, Biodentine служи като заместител на дентина, а композитът – на емайла. В комбинация те могат да изпълняват функцията на окончателно възстановяване в продължение на много години.

Теоретично е възможно да покрием Biodentine с композит 12 минути след нанасянето му. Въпреки това е по-добре при възможност да се изчака поне две седмици, за да втвърди материалът напълно. След този период той ще има микротвърдост като тази на естествения дентин. Освен това след изчакването се постига по-голяма здравина на връзката между адхезива и материала. Друга характеристика на Biodentine е, че запазва виталитета на пулпата, а това е особено важно при случаи на директно пулпно покритие при необратим пулпит.

Фиг. 7: Зъбът след премахване на 1,5 мм от Biodentine.

Фиг. 7: Зъбът след премахване на 1,5 мм от Biodentine.

Фиг. 8: Селективно ецване на емайла.

Фиг. 8: Селективно ецване на емайла.

Фиг. 9: Зъбът след нанасяне на универсален адхезив.

Фиг. 9: Зъбът след нанасяне на универсален адхезив.

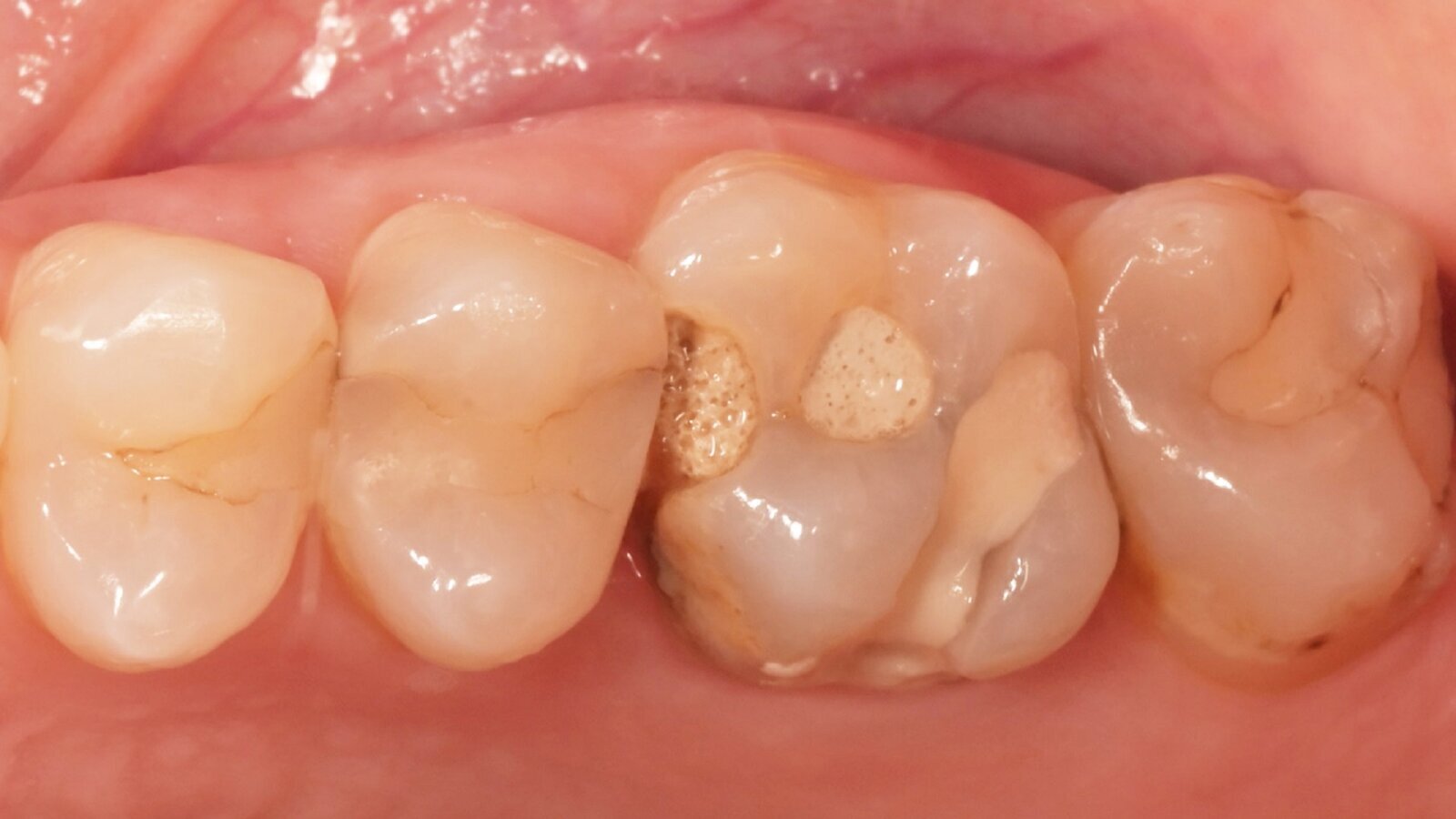
Фиг. 10: Зъбът след нанасяне на един слой A3B универсален композит.

Фиг. 10: Зъбът след нанасяне на един слой A3B универсален композит.

Фиг. 11: Полимеризиране на композита през глицеринов гел.

Фиг. 11: Полимеризиране на композита през глицеринов гел.

Фиг. 12: Обтурацията след наартикулиране и полиране.

Фиг. 12: Обтурацията след наартикулиране и полиране.

Фиг. 13 -  Bio-Bulk Fill.

Фиг. 13 - Bio-Bulk Fill.

Заключение
Процедурата Bio-Bulk Fill с Biodentine е ефикасна при лечение на дълбок кариес. Нанасянето на биоактивен цимент върху деминерализирания дентин запазва максимално много твърди зъбни тъкани и значително намалява риска от пулпна некроза.

Biodentine е заместител на дентина, а в съчетание с външен слой от универсален композит функционира като естетична окончателна обтурация.

Редакционна бележка:

Д-р Михал Ганович използва Biodentine от пет години. Той прилага процедурата Bio-Bulk Fill с Biodentine главно заради благотворното й въздействие върху оздравителния процес на пулпата, като я разглежда като средство за превенция на ендодонтско лечение. Той обикновено използва процедурата Bio-Bulk Fill при случаи на директно и индиректно пулпно покритие, а понякога и за лечение на кариес в цимента, както и за затваряне на перфорации.

Повече информация за Biodentine можете да намерите на www.septodont.com.

Теми:
Етикети:
To post a reply please login or register
advertisement
advertisement