Подобряването на цялостното орално здраве на населението и нарастващите изисквания сред пациентите за дентална естетика и минимална инвазивност към тъканите възвърна бондинг процедурите, направени свободно на ръка, правейки ги най-честия избор на лечение в естетичната зона. На 2 октомври Dental Tribune Study Club представя уебинар, който ще даде на участниците решенията на естетични проблеми, които предлагат модерните композиционни материали, и ще ги запознае със съответните клинични процедури.
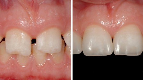
Благодарение на огромния прогрес в оптичните свойства на материалите, а също така и на техниките на прилагане най-новите композити предлагат изключителни естетични резултати и биологично издържани решения на проблеми, които в миналото можеха да се разрешат само със скъпи и по-инвазивни керамични възстановявания. В допълнение композиционните материали изпълняват естетичните очаквания на много млади пациенти чрез ултраконсервативни, често безпрепарационни възстановителни и естетични решения. Практически единственото им слабо място е опитът на практикуващия и знанията му за техния екстензивен естетичен потенциал.
По време на едночасовия уебинар лекторът – д-р Дидие Диечи, ще покрие обосновката и интеграцията на минимално инвазивните техники за работа с композиционни материали с достъпен подход към дизайна на усмивката и денталната естетика. Детайлното описание на клиничните процедури, придружено от обширна клинична документация, ще предостави на участниците достъпно разбиране по темата.
Д-р Диечи е публикувал над 80 статии върху клиничните и научните аспекти на адхезивните и естетичните възстановявания. Съавтор е на книга относно адхезивните безметални възстановявания. Отделно от международната му лекторска дейност той работи в частната си практика, специализирана във възстановителната естетична дентална медицина и периоимплантологията.
Уебинарът се нарича „Ултраконсервативна рехабилитация на усмивката и естетиката: индикации, ограничения и клинични процедури“ (UItra-conservative smile and aesthetic rehabilitations: Indications, limits and clinical procedures), ще се провежда БЕЗ ТАКСА УЧАСТИЕ и ще се излъчва онлайн в сряда, 2 октомври 2013 г. 16 ч., BST. Участниците ще имат възможността да задават въпроси чрез чат прозорец.
Регистрацията за уебинара вече е отворена на сайта на DT Study Club www.dtstudyclub.co.uk.
В безплатен уебинар, който предстои да бъде излъчен на 18 декември, понеделник, ще ...
Важно е денталните лекари по ресторативна дентална медицина и оралните хирурзи да ...
На 5 ноември DT Study Club представи безплатен уебинар с водещ лектор д-р Микаел Цимерман, ...
Практикуването на минимално инвазивна дентална медицина става все по-лесно с ...
Употребата на данни от CBCT, интраорални скенери и компютърно направлявано хирургично ...
В безплатен уебинар на Dental Tribune Study Club, който ще бъде излъчен на живо онлайн на 11 май, ...
Комбинирането на различни дигитални технологии не само прави процесите в денталното...
Първоначално използвана в образната диагностика в кардиологията и радиологията, ...
На 26 май (четвъртък) DT Study Club ще представи уебинар, чиято цел е да илюстрира ...
Със своя широк набор от индикации и подобрени възможности за планиране и диагностика...
Уебинар на живо
чт. 30 април 2026
2:00 (EET) Sofia
Dr. Renato Leonardo D.M.D.
Уебинар на живо
чт. 30 април 2026
8:00 (EET) Sofia
Уебинар на живо
нд. 3 май 2026
7:00 (EET) Sofia
Dr. Rickard Brånemark MSc, MD, PhD, Dr. Robert Gottlander DDS
Уебинар на живо
пн. 4 май 2026
3:00 (EET) Sofia
Уебинар на живо
вт. 5 май 2026
5:00 (EET) Sofia
Уебинар на живо
вт. 5 май 2026
7:00 (EET) Sofia
Уебинар на живо
вт. 5 май 2026
8:00 (EET) Sofia
Dr. Maximilian Dobbertin M.Sc
To post a reply please login or register