Анатомията на кореновите канали често е сложна. Традиционните двуизмерни рентгенографии могат да ни дадат представа за анатомията и нейната сложност или да покажат дали става въпрос за релечение или калцифицирали канали, но само триизмерното изображение може да ни осигури необходимата точност. В тази статия ще споделя с вас случаи с различни ситуации, за които използвах софтуера за дентални изображения DTX Studio Clinic (DEXIS), за да създам дигитален модел и работна стратегия, която да следвам клинично.
Случай 1
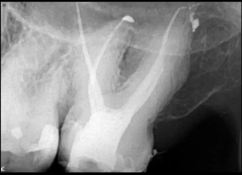
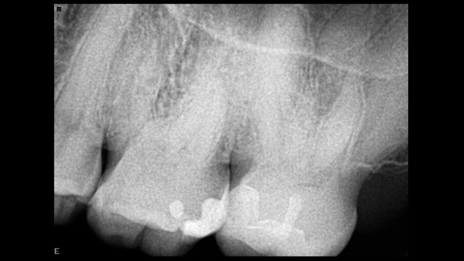
Пациент постъпва по спешност поради остра болка във втори горен молар. Това беше потвърдено при клиничния преглед. Направена е стандартна рентгенография (фиг. 1), която показва много сложна анатомия и калцирана пулпна камера. Историята на този зъб по думите на пациента е, че на него е бил поставен инлей, известно време след което се е появил дискомфорт, който е продължил няколко години без лечение. При контролния преглед му е било казано, че всичко е наред.
Помолих да се направи i-CAT скенер, за да разбера по-добре каква е ситуацията. Изучавайки хоризонталния изглед на 3D изображението, ясно се виждаше нивото на калцификация в пулпната камера в сравнение с пулпната камера на първия молар (фиг. 2).
Ендодонтският режим в новия софтуер DTX Studio Clinic позволява добавянето на много изгледи и профили и регулирането на дебелината на разрезите с цел проверка на нивото на калцификация. Допълнително предимство е, че той позволява проследяване на вътрешната анатомия на корените, заедно и поотделно. При проследяване на кореновите канали може да се избере цвят за всеки канал. Това е от голяма полза за онагледяване на вътрешната анатомия (фиг. 3)
Фиг. 1 Предоперативна рентгенография, показваща много сложна кореноканална система и калцирана пулпна камера.
Фиг. 2 Хоризонтален напречен разрез, направен от i-CAT сканирането (DEXIS), показващ пълна калцификация на орифициумите на нивото на цименто-емайловата граница в сравнение с първия молар.
Фиг. 3 Ендодонтският режим в DTX Studio Clinic проследява анатомията на каналите и предоставя приблизителна работна дължина в различни цветове за всеки канал. Изобразени са четири отделни корена.
С помощта на този софтуер може да се визуализира триизмерен модел на зъба с проследяване на каналите и приблизителните им размери, което ни дава представа какво може да се очаква (фиг. 4). Например в този случай средната работна дължина беше около 27 мм за този втори горен молар с четири канала и такъв вид анатомия – наричам такива случаи „двойно еспресо“, защото представляват леко предизвикателство. Например дисталният канал имаше остра извивка като върха на кука. Всички тези данни могат да помогнат при избора на пилите, използвани за оформяне и почистване на кореновата канална система, и последователността им. За оформянето на каналите бяха използвани пили Traverse и ZenFlex (Kerr Dental; фиг. 5). В дисталния корен пилата 30/.04 не беше използвана в последните 2 мм, за да се избегне неправилно оформяне на тази област. Промиването на канала беше извършено в съответствие с последователността на промиване на Sleiman (публикувана в списание roots 1/2014 г.). Триизмерната обтурация на каналите беше извършена със система за обтурация elements IC (Kerr Dental; фиг. 6). Обтурирането беше завършено, а незабавните следоперативни рентгенографии показаха, че всички канали са запълнени и запечатани (фиг. 7а–с).
Фиг. 4 3D реконструкция на каналите в различни цветове, показваща подробната дължина сегмент по сегмент за всеки канал.
Фиг. 5 Последователността на оформяне на Sleiman, използваща пилите на Traverse и ZenFlex.
Фиг. 6 Elements IC за обтуриране с техниката на непрекъснатата вълна на компактиране и бекфил.
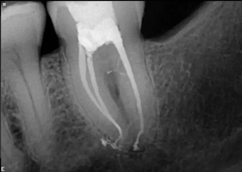
Фиг. 7а Рентгенографии, направени моментално след обтурирането на каналите, показващи 3D запълване на кореновата система под различен ъгъл.
Фиг. 7б Рентгенографии, направени моментално след обтурацията на каналите, показващи 3D запълване на кореновата система под различен ъгъл.
Фиг. 7в Рентгенографии, направени моментално след обтурацията на каналите, показващи 3D запълване на кореновата система под различен ъгъл.
Случай 2
Същият пациент имаше фистула в букалната област на нивото на фуркацията на долен молар в резултат на твърде високите оклузални контакти, които не са били коригирани след поставянето на инлея на горния молар (фиг. 8). Това е довело до активиране на субстанция Р, която впоследствие е създала калцификацията в горния молар и необратимото възпаление на долния молар – ефект на микротравмата.
Посредством ендодонтския режим в DTX Studio Clinic (фиг. 9) бяха изследвани всички профили и разрези на модела, като се търсеше причината за фистулата на долночелюстния молар. Възможна причина за фистулата може да е бил сложният комплекс от латерални канали, наблюдаван в коронарната част на дисталния корен (фиг. 10). Започна се лечение на кореновия канал с помощта на пили Traverse и ZenFlex в същата последователност като тази, използвана при случай 1, и се извърши триизмерна обтурация със системата elements IC (фиг. 11).
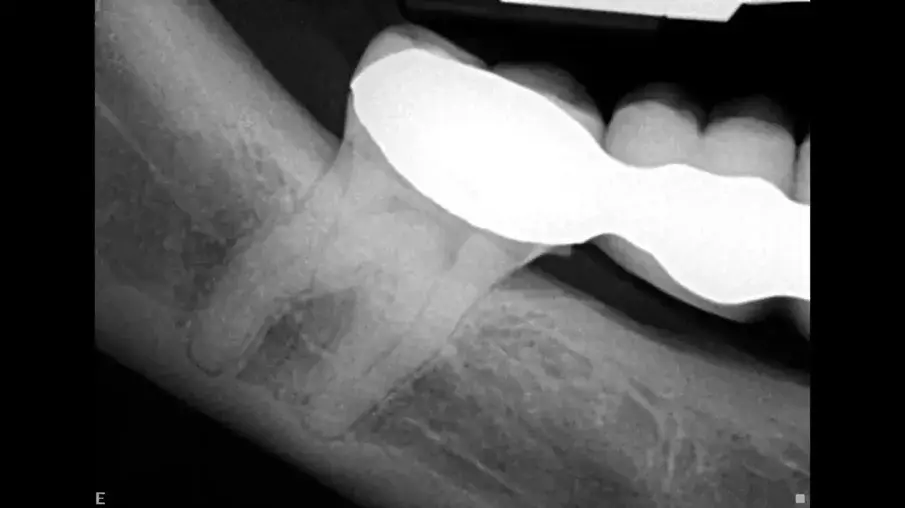
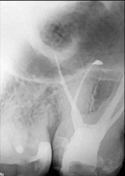
Фиг. 8а Предоперативна рентгенография, показваща калцирана пулпна камера и нерентгеноконтрастна лезия в областта на фуркацията (а). Фистула, насочена към коронарната част на кореновия канал (б).
Фиг. 8б Предоперативна рентгенография, на която се вижда фистулата, насочена към коронарната част на кореновия канал.
Фиг. 9 Ендодонтският режим на DTX Studio Clinic в различни профили за анализ на случая.
Фиг. 10 Хоризонтален изглед с дебелина само 0.5 мм, показващ сложна система от латерални канали в коронарната част на дисталния канал.
Фиг. 11а Костна реконструкция с DTX Studio Clinic, показваща костен дефект в коронарната област (а). Рентгенография непосредствено след обтурацията на кореновите канали, която показва запълване на латералните канали в коронарната част на дисталния канал (б).
Фиг. 11б Постоперативна рентгенография, на която се вижда, че латералните канали са запълнени в коронарната част на дисталния канал (б).
Случай 3
Третият случай подчертава способностите на изкуствения интелект, включен в DTX Studio Clinic, една от функциите на който е автоматичното проследяване на долночелюстния канал. В този случай се оказа много полезна функция. Пациентът е страдал от необратим пулпит на долен мъдрец. Той искаше да спаси зъба на всяка цена, тъй като не искаше да има имплант (моларният зъб е бил опорен зъб за мост). Рентгенографията сочи, че корените на молара се припокриват с канала на долната челюст (фиг. 12). Беше направен 3D скенер и върху него софтуерът проследи долночелюстния канал, който припокриваше молара в панорамния изглед. Ендодонтският режим показа, че каналът заобикаля букалната област, като леко докосва медиобукалния канал (фиг. 13–15). Рентгенографията, направена непосредствено след кореновото лечение, извършено през коронката, показа пълна обтурация на всички канали (фиг. 16)
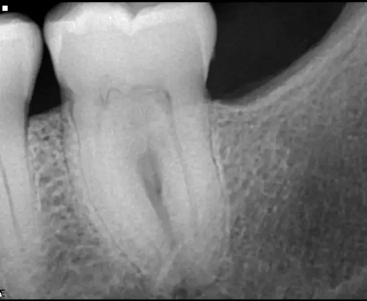
Фиг. 12 Предоперативна рентгенография, показваща непосредствената близост между канала на долната челюст и мъдреца.
Фиг. 13 Проследяване на траекторията на долночелюстния канал.
Фиг. 14 Представяне на ендодонтския режим на DTX Studio Clinic и различните участъци от областта и отношенията между долночелюстния канал, проследен от софтуера, и корените на молара.
Фиг. 15 3D реконструкция, показваща, че нервът е заобиколил букалната област и е засегнал само средната част на медиалния канал.
Фиг. 16 Следоперативна рентгенография непосредствено след обтуриране наканалите.
Заключение
Използването на дигитален софтуер за образна диагностика може да подобри значително резултата от кореново лечение, като предостави допълнителна информация за сложната анатомия на кореновата система. Един съвременен софтуер, какъвто е DTX Studio Clinic, позволява изобразяване на сложността на кореноканалната системата с висока точност – намирам го за нещо подобно на карта, която мога да следвам по време на лечението. Тази карта прави ендодонтското лечение по-предсказуемо и ефективно.
To post a reply please login or register