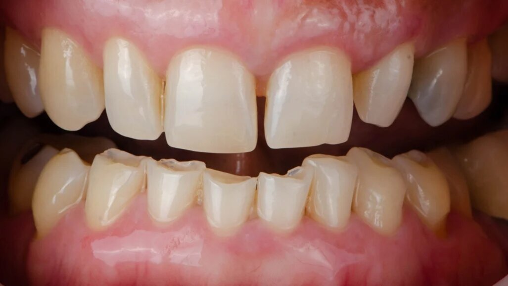
Когато става въпрос за износване на зъбите, има две основни етиологични причини, с които аз като практикуващ зъболекар се сблъсквам най-често. Първата, ерозията, често е свързана с хранителните навици. Прекомерният прием на киселинни напитки, включително газирани напитки и алкохол, особено такива с добавени цитрусови плодове като лимон, допринася значително за зъбната ерозия.
Освен това разпространението на съвременните диети с високо съдържание на кисели плодове допълнително влошава това състояние. Медицински проблеми като булимия и гастро-езофагеална рефлуксна болест също играят роля, тъй като внасят стомашни киселини в устната кухина. Втората основна етиологична причина е изтриването на зъбите, което до голяма степен се дължи на бруксизъм. Това физическо износване често е отговор на психологическия стрес, който става все по-често срещан в нашето забързано общество.
Разпространение и последици от бруксизма
Различни доклади сочат, че 5–30% от населението стиска и скърца със зъби в някаква степен, а почти всеки човек в даден момент е скърцал със зъби. Всъщност това е по-значим проблем от кариеса и пародонталните заболявания по отношение на разпространението.
„Справянето с бруксизма и оклузалното изтриване изисква комплексна стратегия.“
Причиненото от бруксизъм износване на зъбите води до оклузални заболявания. Оклузалните заболявания обхващат проблеми, произтичащи от необичаен или вреден контакт между горночелюстните и долночелюстните зъби. Това включва ставни и мускулни проблеми, разрушаване на зъбните конструкции и по-генерални последици за цялостното здраве и благополучие. Състоянието често засяга един или евентуално два компонента на дъвкателната система, обикновено не всички едновременно. Ако са засегнати темпоромандибуларните стави, това може да доведе до болки в ставите, трудности при дъвченето и щракане в ставите. Засягането на мускулите често води до главоболие, миофасциална болка и ретроорбитален дискомфорт. Освен износването на зъбите обтурациите и другите конструкции могат да се счупят, а пародонталният лигамент може да бъде претоварен, което да доведе до подвижност на зъбите.
Възможно е да има по-нататъшни последици в зависимост от начина, по който засегнатите реагират на тези симптоми. Например това състояние често води до повишена чувствителност на зъбите, което налага преминаване към по-меки храни. Вследствие на това хората са склонни да консумират храни, богати на въглехидрати, като същевременно избягват по-твърди храни, като месо, които са по-трудни за дъвчене. Тази промяна в начина на хранене може да доведе до значително намаляване на приема на протеини и фибри, като по този начин може да повлияе на цялостното здраве на организма. Подобни промени в хранителните навици засягат не само оралното здраве, но могат да дадат отражение на общото благосъстояние на индивида – както физическо, така и психологическо.
Превенция и лечение
Управлението на бруксизма и оклузалните заболявания изисква комплексна стратегия, чиято основна цел е да се намали стресът. От гледна точка на лечението първата защитна линия при управлението на бруксизма е използването на шини за бруксизъм. Те, когато са правилно проектирани и използвани, могат да предотвратят по-нататъшно увреждане на зъбите и челюстта. Ефективността им обаче зависи от фактори като дизайн, цена и съобразяване с изискванията на пациента.
Разбирането на концепцията за шините е от решаващо значение, тъй като някои видове могат да влошат състоянието. Например меките шини, които обикновено са единствената възможност, предлагана от Националната здравна служба, могат да бъдат полезни за някои, но вредни за други, докато твърдите акрилни, наартикулирани шини предлагат по-предвидими резултати.
Когато зъбите вече са увредени, се налага възстановително лечение. То може да варира от използване на композитни материали за малки поправки до цялостно възстановяване с керамика или злато, като последното се приема особено добре от по-възрастните пациенти. Изборът на материал и техника трябва да бъде съобразен с конкретните нужди и обстоятелства на всеки пациент. Възстановителните процедури трябва да отчитат и правилните принципи на оклузията, за да се осигурят дълготрайност на възстановяванията и здраве на дъвкателната система.
Ролята на общопрактикуващите зъболекари
„Ключът към управлението на тези състояния се крие в образованието.“
Общопрактикуващите зъболекари могат да се справят със значителна част от случаите, свързани с бруксизъм и оклузални заболявания. Непрекъснатото образование и практическото обучение са от решаващо значение за зъболекарите, за да могат да диагностицират, лекуват и управляват ефективно тези състояния. Около 80–90% от леченията попадат в обхвата на общата дентална практика, а останалите случаи изискват насочване към специалист.
Това изобщо не е толкова трудно, колкото си мислите, като се има предвид, че за лечението на бруксизма зъболекарите трябва да разбират само пет принципа:
- Установете позицията на темпоромандибуларната става
Първоначалният ни подход се фокусира върху поставяне на темпоромандибуларните стави в правилната им позиция, т.е. в централна релация или в ретрудирана аксиална позиция. Въпреки различните терминологии, използвани в оклузодонтията, и двата термина означават една и съща позиция, целяща правилното подравняване на кондилите.
2. Осигурете контакт между зъбите
След като темпоромандибуларните стави са точно позиционирани, е изключително важно да се провери дали всички зъби контактуват едновременно. Този равномерен контакт между всички зъби е от съществено значение за комфортната оклузия.
3. Осигурете инцизивно водене по време на движение
При протрузивно, ретрузивно и латерално движение е важно предните зъби да улесняват плъзгането, докато задните зъби са дезартикулирани. Това инцизивно водене е от ключово значение за правилното функциониране на зъбите.
4. Елиминирайте оклузални блокажи в дисталните зъби
По време на различни движения, включително бруксизъм, е важно да се гарантира, че задните зъби не си пречат един на друг. Това означава да се избягват блокажи от неработещата или балансиращата страна, които създават лост от клас 2, а по този начин се осигурява оклузален баланс и се поддържа орално здраве.
5. Установяване на стабилността на задните зъби
Тук се акцентира върху осигуряването на насочване на силите, упражнявани върху задните зъби, по дългата ос на всеки зъб. Този подход има за цел да гарантира, че всеки заден зъб има три точки на контакт, за да се предотврати накланянето и да се поддържа стабилността.
Ключът към управлението на тези състояния е в обучението. Разбирането на принципите на оклузията, механиката на шините и нюансите на възстановителните процедури е от съществено значение. Зъболекарите трябва да бъдат проактивни в идентифицирането на признаците на бруксизъм и оклузално заболяване и да не се колебаят да прилагат подходящи интервенции, като шини, за да предотвратят по-нататъшни увреждания.
Възприемане на холистичен подход
Като специалисти по дентална медицина трябва да интегрираме тези познания в практиката си, за да осигурим цялостна грижа за нашите пациенти. Този подход не само адресира непосредствените дентални проблеми, но и осигурява превенция на негативните последици за цялостното здраве и качество на живот на пациента.
Редакционна бележка:
Професионалистите по дентална медицина, които биха искали да научат повече по тази тема, са поканени да посетят презентацията на д-р Tipton, озаглавена „Възможности за лечение на пациенти с бруксизъм и износване“, която той ще изнесе на 17 май на Британската дентална конференция и дентално изложение в Бирмингам. Повече информация можете да намерите на birmingham.dentistryshow.co.uk. Тази статия е публикувана в Dental Tribune UK & Ireland, том 14, брой 1/2024.
Етикети:
На 21 ноември вечерта българската дентална общност стана свидетел на премиум събитие ...
По темата за изкуствения интелект (ИИ) и денталната медицина ще говоря на Британската...
Според експерти биофилмите обикновено се разглеждат като проблем, който трябва да ...
Вашингтон, САЩ: Тази година само осем професии са по-добри от денталната медицина ...
Наскоро Организацията за безопасност, асептика и превенция (OSAP), чиято мисия е ...
От 9 до 11 октомври 2025 г. столицата ще бъде домакин на 18-ия Международен конгрес Sofia ...
VIII научен конгрес на Столичната районна колегия ще представи различен поглед към ...
Според учени от САЩ слюнката е среда, в която могат да се открият признаци на орални и ...
КЬОЛН, Германия: От 25 до 29 март Международното дентално изложение (IDS) ще проведе ...
Саванджи, Индия: Едно нещо е сигурно: технологиите винаги се променят. Независимо ...
Уебинар на живо
чт. 30 април 2026
2:00 (EET) Sofia
Dr. Renato Leonardo D.M.D.
Уебинар на живо
чт. 30 април 2026
8:00 (EET) Sofia
Уебинар на живо
нд. 3 май 2026
7:00 (EET) Sofia
Dr. Rickard Brånemark MSc, MD, PhD, Dr. Robert Gottlander DDS
Уебинар на живо
пн. 4 май 2026
3:00 (EET) Sofia
Уебинар на живо
вт. 5 май 2026
5:00 (EET) Sofia
Уебинар на живо
вт. 5 май 2026
7:00 (EET) Sofia
Уебинар на живо
вт. 5 май 2026
8:00 (EET) Sofia
Dr. Maximilian Dobbertin M.Sc
To post a reply please login or register