Search Dental Tribune

Предай нататък: Дигиталните технологии дават възможност за по-лесното изработване на снемаеми зъбни протези

Неотдавнашният напредък в софтуера за зъбни протези улесни прехода към изцяло дигитален работен процес и специалистите по дентална медицина са поканени да приемат предимствата на дигиталната дентална медицина. (Снимка: Sotnikov Misha/Shutterstock)

ср. 13 декември 2023

запази

Преминаването от аналогово към дигитално изработване на зъбни протези има значителни предимства за специалистите по орална медицина, зъботехниците и пациентите. Въвеждането на дигиталните технологии за протезиране в Aspen Dental създаде вълнуващи възможности за увеличаване на ефективността и ефикасността на екипите, особено по отношение на работния процес при производството на референтни протези.

Кратка история на протезите

Подобно на повечето материали, използвани в здравеопазването, материалите за протези са претърпели значителна еволюция през последните 300 години. В продължение на векове хората, желаещи да заменят всички свои зъби, са търсили навсякъде (често безрезултатно) биосъвместими, удобни, естетически приятни и дълготрайни материали. Първите протези най-често са били неудобни, непривлекателни и едва функциониращи заместители на естествените зъби.

В периода преди началото на индустриализацията през XIX в. протезите са били предсказуемо елементарни. Снемаемите протези често са били украсени с истински човешки зъби, понякога извлечени от тленни останки. В другия случай изкуствените зъби обикновено са били изработвани от естествени материали като дърво или животинска кост. Някои от протезите в миналото са били издълбани изцяло от слонова кост, но те са изисквали висококвалифициран и времеемък процес, достъпен само за заможните.1 Въпреки че тези приспособления са можели да бъдат сравнително задоволителни, те са се задържали в устата по груб начин (т.е. болезнено и ненадеждно) с помощта на пружини и тежести и са били податливи на оцветяване и гниене.2

Достъпът до протези се демократизира окончателно в средата на XIX век, когато Чарлз Гудиър разработва вулканита, който бързо се превръща в предпочитан материал за изработване на протези и запазва мястото си през първата третина на ХХ век. Разбира се, полиметилметакрилатът (ПММА) е индустриалният стандарт за изработване на протезни основи още от въвеждането му в края на 30-те години на ХХ век.3 През изминалите десетилетия, докато производствените процеси се усъвършенстват и се появяват и изчезват нови иновации, ПММА остава най-широко използваният материал за протези.

С помощта на тази историческа перспектива сега можем да погледнем назад към първите такива изделия и да ги оценим като неусъвършенствани, нехигиенични и ограничени. Смятам, че след няколко години ще трябва да оценим по подобен начин снемаемите зъбни протези от началото на настоящия век.

Преход от аналогов към дигитален формат

През 1994 г. в International Journal of Prosthodontics се появява първото изследване на дигитално разработване на протези.4 Статията представя нов процес, при който авторите използват лазерен скенер за снемане на отпечатъци за протези и 3D принтират матрица на зъб и основа, което позволява изработването на протеза с помощта на фотополимеризираща смола. Въпреки че идеите в изследването са новаторски, 3D принтирането по онова време не е достатъчно добре развито за клинична употреба, така че нововъзникващата индустрия за дигитални технологии за протези се фокусира вместо това върху CAD/CAM фрезоването. През 1997 г. в Journal of Oral Rehabilitation е публикуван доказателствен материал за ефективността на идеята, в който подробно е описана техника за фрезоване на дубликат на протеза от восък.5

Първата комерсиална дигитално разработена протеза е произведена едва през 2011 г. – доста повече от десетилетие по-късно. Компанията Global Dental Science проектира и изработва устройството, което предлага на пазара под името AvaDent Digital Dentures. AvaDent остава авторитет на настоящия пазар за дигитални протезни системи редом с варианти от конкуренти като Ivoclar, Dentsply Sirona, SprintRay, VITA Zahnfabrik (Vita Vionic) и Merz Dental (Baltic Denture System).6

Производителите на фрезовани протези са разработили и стандартизирали шайби от ПММА, които се поставят във фрези с електронно управление. Първите фрезовани протези са изисквали значителен обем техническа, ръчна работа, тъй като производителите могат да фрезоват само основата на протезата; в основата те залепват един по един кардирани зъби. С течение на времето зъботехническите лаборатории са разработили усъвършенствани системи, които позволяват фрезоването на пълен комплект зъби като едно цяло. Впоследствие този елемент се свързва с отделно фрезована основа и се връща в машината за финализиране (процес на фрезоване на големи размери на Ivoclar). Днес най-добрите системи за фрезоване на протези изработват монолитни протези от една част. Триизмерното принтиране вече играе все по-голяма роля в изработването на протези благодарение на вече ниската си цена и впечатляващата си мащабност. През последните години разработването на нови фотополимери и усъвършенствани техники за изработка значително понижи разходите за навлизане в тази вълнуваща технология, така че тя се превърна в реална възможност за работещите лаборатории. Днес добре оборудваните лаборатории могат да отпечатват основа за протеза от розов материал, която след това се свързва с кардирани зъби или с монолитна, или сегментирана зъбна арка. Такива системи са Lucitone Digital Print Denture System (Dentsply Sirona) и SprintRay High Impact Denture Solution.

Разработването на специализиран софтуер за проектиране на протези е друга важна иновация. В някои случаи наличните в търговската мрежа софтуерни системи са били патентовани софтуерни пакети, специално разработени за изработване на дигитални протези (напр. AvaDent Connect). В други случаи водещи компании като Ivoclar използват изградени от 3Shape специализирани модули, за да разширят възможностите на вече съществуващ софтуер за проектиране на зъбни протези.

Многобройните предимства на дигиталните протези

Технологичната индустрия предпочита думата disruption (разрушаване), за да опише промените в методологиите, които преобръщат парадигмата – и аз самият съм виновен, че я използвам. Напоследък намирам за по-продуктивно да измествам фокуса си от това как дигиталното разработване на протези разрушава старите методологии и вместо това да поставям на преден план как новите технологии активно облагодетелстват както лекарите, така и пациентите и лабораториите.

Много от най-добрите лекари вече се възползват от предимствата на дигиталните технологии, които правят дизайна и протезирането безкрайно предвидими. Накратко казано, съвременните протези заменят склонните към грешки гипсови модели с прецизни дигитални модели, като позволяват на достатъчно обучени специалисти по дентална медицина да сканират устата на пациента или неговите физически отпечатъци или модели, да ги трансформират в компютърни 3D модели и да стартират прецизен CAM процес с натискането на един бутон – като същевременно подобряват естетическите параметри и прилягането на протезата, ако пациентът желае това.

Дигиталните методи опростяват няколко потенциални проблемни ситуации, които възникват по време на работния процес за разработване на референтни модели на протези. Работният процес на аналоговите протези е популярен, отчасти защото съкращава клиничните стъпки и позволява на клиницистите да използват предишния си опит като индикатор за степента на трудност, като по този начин значително се подобрява предвидимостта.7 Клиничните специалисти, използващи конвенционални лабораторни техники, обаче често не са в състояние точно да повторят сложни вече съществуващи протези.8 От значение е, че за неопитните лекари дигиталните работни процеси намаляват стреса, който може да съпътства цялостната аналогова работа. При традиционните методи една-единствена грешка може да върне работния процес в изходно положение. Тъй като в дигиталните бази данни информацията на пациентите се съхранява много точно, клиничните специалисти са спокойни и могат да работят по-добре и по-повторяемо.

В почти всички случаи дигитално разработените протези изискват по-редки и по-кратки посещения – в това число и следоперативните визити.9,10 Въпреки че предимствата на намалените часове в кабинета трябва да са очевидни за лекарите, не трябва да пренебрегваме потенциално сериозните ползи за пациентите. Статистически погледнато, пациентите, нуждаещи се от снемаеми цели протези, е непропорционално вероятно да са в утежнено здравословно състояние и/или трудни социално-икономически условия. По-конкретно по-малко вероятно е те да разполагат с личен транспорт, по-вероятно е да имат проблеми с придвижването и по-малко вероятно е да живеят в близост до дентален център. Не трябва да приемаме за даденост възможността на тези пациенти да дойдат в кабинета.

Повсеместното приложение и постигнатите резултати най-вероятно ще се подобрят още повече, когато бъдещите поколения зъболекари и техници навлязат на пазара на труда, запознати с тези нови работни процеси. Според Wendy Auclair Clark, доцент по протетична дентална медицина в Университета на Северна Каролина в Чапъл Хил, САЩ, дигитално разработените протези вече са неразделна част от учебните програми за всички протетични интервенции във водещите дентални училища.

Техниката за дигитално разработване на референтни протези

Писал съм и съм изнасял обширни лекции за техниката на референтните протези, наричана още „работен процес за дублиране на протези“ (denture duplication workflow). В правилните ръце вярвам, че този безпроблемен и технически, и клинично интегриран работен процес осигурява възможно най-високия стандарт на предвидима и прецизна грижа и изработка.

Тази популярна техника е идеална за пациенти без зъби, които по принцип са доволни от съществуващите си протези дори и след изтичане на срока им на експлоатация. В подходящи ситуации дигиталният референтен работен процес за протези осигурява на техниците усъвършенстван дигитален архив на съществуващата информация за пациента, което позволява на клиницистите да рехабилитират пациента по-уверено, предвидимо и точно, отколкото би било възможно иначе.

При използване на традиционни методи и материали възпроизвеждането на съществуваща ръчно изработена протеза в приемливи граници – да не говорим за перфектна такава – е трудоемко. Както сигурно знаете, крайното качество на аналоговата протеза се определя до голяма степен от координацията между ръцете и очите и сръчността на човека, който я изработва. Рискът от човешка грешка е значителен и неизбежен.8

Клиничен случай

Фиг. 2

80-годишен пациент се яви за преглед на състоянието на зъбите и смяна на протезите (фиг. 1а и б). Наличните му горни и долни цели протези бяха на пет години и нямаха ретенция и стабилност. Периферните граници на двете протези не бяха достатъчно екстензирани и бе налице значително увеличение на вертикалния размер на оклузията (VDO; фиг. 2). Пациентът не бе доволен от външния вид на протезите си, тъй като при тях се наблюдаваше обърната линия на усмивката и прекомерно показване на зъбите на венците (фиг. 3). При приблизително желаното VDO пациентът показа адекватно междучелюстно отстояние и демонстрираше беззъби дъги от клас 2 на Протетичния диагностичен индекс.14 След обстойно обяснение на всички възможности за лечение и техните цели и ограничения пациентът се съгласи на лечение на беззъбите дъги с използване на комбинация от традиционни аналогови и дигитални CAD/CAM техники.

Събиране на клинична информация

Бяха оценени VDO, фонетиката, естетиката и екстензията на периферните граници на старите протези. Съществуващите протези имаха недостатъчно екстензирани бордове, които трябваше да бъдат регистрирани с функционалния отпечатък. Ако съществуващата протеза е свръхекстензирана, тя се коригира съответно преди снемането на отпечатъка. Много е важно да се уведоми пациентът, че ще се извършват промени по протезата. Имате възможност да поставите мека подложка (COE-SOFT, GC) след приключване на първата среща, за да стабилизирате съществуващата протеза, докато се изработва новата.

За снемане на окончателните отпечатъци бяха използвани съществуващите зъбни протези. Оформянето на границите се извърши предварително чрез различни функционални движения на дъвкателните мускули и изражението на лицето на пациента. Това беше извършено по периферията, като бе използван хидрофилен поливинилсилоксанов отпечатъчен материал (Virtual Heavy Body Fast Set, Ivoclar). След като бяха регистрирани функционалните движения, излишният материал по външните и вътрешните повърхности на протезата бе отстранен, като се запази 3 мм от отпечатъчния материал отвътре и отвън спрямо ръба. Протезите бяха подготвени за отпечатък в коректура, за да се уловят фините детайли на алвеоларния гребен и меките тъкани. Това също беше извършено с помощта на хидрофилен поливинилсилоксанов отпечатъчен материал (Virtual Light Body Fast Set, Ivoclar; фиг. 4).

След поставянето на отпечатъка челюстите бяха поставени в централна релация с помощта на Blu-Bite HP Fast Set (Henry Schein). Регистратът на централната релация се оценява или проверява с клинична увереност, като това е „най-ретрудираната позиция на долната челюст спрямо горната при установен вертикален размер, която може да се повтори и запише“ (фиг. 5).16

Беше извършено екстраорално сканиране с интраорален скенер (TRIOS 4 wireless, 3Shape) с двете протези на място, като се гарантира, че са заснети външните и вътрешните повърхности, периферните граници и букалните повърхности на всички зъби.17 Това гарантира, че предоставяме цялата необходима информация, за да може дизайнът да следва съществуващите позиции на зъбите (фиг. 6).

Съотношенията между челюстите могат да бъдат заснети интраорално с интраорален скенер или външно. Може да се използва восък за функционален отпечатък или leaf gauge за регистриране на междучелюстните отношения при желаното VDO, ако е необходимо неговото увеличение.

Използване на CAD софтуер за дигитално проектиране

STL файловете от първоначалната визита бяха изпратени в лабораторията за дигитален дизайн и подреждане на зъбите. Софтуерът Dental System 2023 (3Shape) дава възможност за изобразяване на съществуващото положение на настоящите протези на пациента (фиг. 7). Софтуерът също така дава възможност на зъботехника да оцени позицията на алвеоларния гребен и да подреди зъбите анатомично и физиологично съгласно принципите за подреждане на зъбите (фиг. 8 и 9).18,19 Запазването на първоначалната позиция на зъбите се потвърждава както от информацията, подадена от зъболекаря, така и от настоящите протези, като същевременно могат да бъдат внесени желаните корекции. Избраната форма и цвят на зъбите, както и тяхната подредба се оптимизират при желаната VDO и се подреждат по лингвализирана оклузална схема.20 Дизайнът на прототипа (STL файл) може да бъде произведен в принт център или отпечатан в кабинета.

Проба на моноблокови протези

Моноблоков прототип беше отпечатан на 3D принтер (SprintRay Pro95S) от смола (Try-In 2, SprintRay; фиг. 10) и използван за проверка на плътното прилягане по периферията и оценка на естетиката, фонетиката и височината на оклузията (фиг. 11а и б). Тази стъпка се смята за незадължителна, но е за предпочитане, ако се извършват множество естетични и/или функционални промени спрямо съществуващите протези.

Въпреки че промените в дължината, формата и захапката могат да се правят и върху 3D отпечатания моноблок за проба, ограничение на тази дигитална технология е невъзможността за преместване на зъбите по време на посещението (в сравнение с традиционната проба с наредени зъби). Модификациите на моноблоковите протези могат да бъдат извършени чрез отпечатък с коректура, както е описано в първата стъпка, и да бъдат сканирани, за да се осигури адекватно периферно уплътнение и прилягане към лигавицата, и/или да бъдат изпратени обратно в лабораторията, или да бъдат сканирани и файлът да бъде препратен към лабораторията.

Изработване и предаване на протезите

Изработване

Съществуват различни методи за дигитално изработване на протези. Системата за дигитално изготвяне на зъбни протези Lucitone предлага цялостен, валидиран и утвърден работен процес (фиг. 12а–13в). Чрез технологията BAM! (body-activated material – материал, активиран от тялото) Smart полимерите в базата удвояват здравината си при телесна температура, осигурявайки двойно по-голяма устойчивост срещу фрактури в сравнение с наличните в търговската мрежа материали за основа на протези. Материалите SprintRay High Impact Denture Base и High Impact Denture Teeth с NanoFusion, керамична инфузия, предлагат висока устойчивост срещу напукване и оцветяване, както и подобрена стабилност на цвета.

Предаване

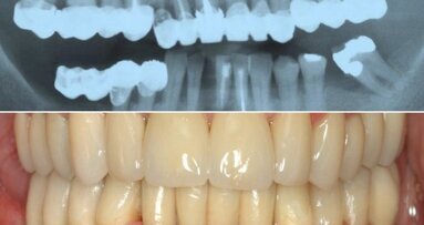
Готовите протези бяха поставени и бе оценена тяхната ефикасност, прилягане, форма и функция (фиг. 14а–в). При оценката с помощта на Pressure Indicator Paste (бял силиконов спрей; Keystone Industries) бяха необходими минимални корекции по вътрешната повърхност. Оклузията, стабилността и задържането бяха оценени и бе установено, че ситуацията е значително подобрена в сравнение с началото (фиг. 15–17). С пациента бяха дискутирани указанията за орална хигиена.

Заключение 

Фиг. 15

Работните процеси за дигиталното изработване на протези са на практика безкрайни, тъй като съществуват множество начини за използване на дигиталната технология за проектиране и изработване на снемаеми протези. Тази методология дава както на клиничния лекар, така и на зъботехника цялата информация, необходима за предсказуемото изработване на снемаема протеза. Дигитализирането на такъв богат набор от данни все още е в начален стадий, имайки предвид широкото потенциално приложение; този подход обаче набира голяма популярност в индустрията. Технологията за референтни протези в съчетание с дигиталните технологии ни дава възможност да създадем протокол с приложим клиничен и технически работен процес, който да формира взаимоотношения, осигуряващи висока удовлетвореност за лекарите, зъботехниците и най-вече за пациента.

 

Редакционна бележка:

Пълния списък на препратките можете да намерите тук. Тази статия е публикувана в digital-international magazine of digital dentistry vol. 4, issue 3/2023.

Етикети:
To post a reply please login or register
advertisement
advertisement