Съвременната дентална медицина преживява технологична революция, предизвикана от интегрирането на съвременни дигитални инструменти в диагностиката, планирането и лечението. Сред тях компютърно-управляваната имплантология се превърна в основен елемент, особено при сложни процедури като естетична рехабилитация и възстановяване на цялата зъбна дъга. Този подход не само повишава хирургичната прецизност, но и намалява усложненията, повишава комфорта на пациента и оптимизира работния процес. Чрез комбиниране на CBCT изображения, интраорално сканиране и софтуер за планиране, лекарите могат да извършват виртуални симулации, които плавно преминават в клинично изпълнение. Хирургичните водачи позволяват имплантите да бъдат поставени почти точно както са планирани предварително.
Рехабилитацията на цялата челюст остава едно от най-големите предизвикателства в имплантологията, изискващо възстановяване на функцията, естетиката и дългосрочната стабилност при пациенти с ограничени анатомични референтни точки. Дигиталният работен процес позволява точно планиране, съобразено с всеки пациент, като подобрява контрола и предвидимостта по време на лечението. Освен това, интраоралните скенери позволяват бързо, прецизно и неинвазивно събиране на данни. Висококачествените им резултати вече се конкурират с тези на традиционните отпечатъци, предлагайки подобрено изживяване за пациента и незабавна приложимост в протезния дизайн.
Интегрирането на интраоралните сканирани данни със CBCT данни формира единен дигитален модел – дигитален близнак – който подпомага протетичното планиране, изработването на хирургични водачи и идентифицирането на анатомични ограничения. Изкуственият интелект (AI) добавя допълнителен потенциал чрез обработката на големи масиви от данни, за да подпомогне диагностиката, позиционирането на имплантите и биомеханичния анализ.
Фиг. 2: Начална ситуация, оклузален изглед.
Клинично, тези технологии водят до по-точно поставяне на импланти, оптимизирани протези и по-кратки, по-малко инвазивни процедури, което често улеснява имедиатното натоварване. Успехът обаче зависи и от характеристиките на импланта и подходящото обучение. Десетилетия на изследвания са показали, че имплантите с по-висока хидрофилност потенциално подобряват клиничните резултати, като ускоряват заздравяването и улесняват протоколите за имедиатно натоварване.
Клиницистите трябва да разбират дигиталните работни процеси, софтуерната логика и как да управляват сложни случаи на обеззъбяване, при които диагностиката, прецизността и точността са от жизненоважно значение. Насочената хирургия превръща виртуалното планиране в изключително точни клинични процедури. 3D-принтираните водачи помагат да се минимизират отклоненията и да се намали хирургичната травма. Все пак е от съществено значение да се поддържат високи стандарти през целия работен процес – от отпечатъците и дизайна на водачите до дефинитивното възстановяване. Сътрудничеството с зъботехническите лаборатории е ключово. Дигиталната комуникация позволява изработването на персонализирани протези, които са виртуално валидирани и прецизно произведени с помощта на CAD/CAM. Това повишава ефективността, намалява грешките и повишава общото качество на лечението.
В крайна сметка, конвергенцията на CBCT, AI, интраорално сканиране и 3D печат преобразува денталната медицина в предсказуема, превантивна и персонализирана дисциплина. Рехабилитацията на цялата зъбна дъга е пример за ползите от тази промяна, като превръща компютърно направляваната имплантология не само в техника, но и в философия, ориентирана към пациента, основана на прецизност, безопасност и клинично съвършенство.
Доклад на клиничен случай
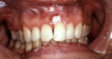
85-годишен пациент с частично обеззъбяване беше насочен към нашата клиника за рехабилитация на цялата горночелюстна дъга. Пациентът беше в добро общо здравословно състояние, непушач. Основните му оплаквания включваха затруднения при дъвчене, болка в горната челюст и периодична халитоза. Клиничната и рентгенографската оценка разкриха фиксирана металокерамична протеза с къс обхват, задържана върху седем предни зъба на горната челюст. Протезата се беше отлепила и четири от опорните зъби бяха структурно увредени. Останалите три показваха различна степен на кариес и пародонтални проблеми. Беше поставена диагноза за компрометирано съзъбие.
При първото посещение бяха снети дигитални отпечатъци с помощта на скенера Medit i700, за да се документират останалите зъби, меките тъкани, съществуващата протеза и противоположната зъбна дъга. Оклузалните регистрации бяха получени при текуща вертикална височина на оклузията и в централна релация. Движенията на долната челюст бяха регистрирани с помощта на системата zebris JMA (zebris Medical). Бяха направени и интра- и екстраорални фотографии. Въз основа на тези записи бяха създадени виртуален диагностичен wax-up и дигитална симулация на усмивката (Smile Creator, exocad). Накрая бяха планирани осем импланта (фиг. 3 и 4) според новия восъчен модел (exoplan 3.1, exocad) и предварително бяха изработени хирургичен водач и временна протеза, подсилена с метал.
Фиг. 3: Виртуално планиране на импланта. Съвпадение на CBCT и интраорални сканирания с помощта на външен маркер в exoplan 3.1.
Фиг. 4: Виртуално планиране на импланта на мястото непосредствено след екстракция в exoplan 3.1.
Фиг. 5: Предварително изработена временна протеза от PMMA.
Фиг. 6: Хирургичен водач без метални втулки за подготовка на местата за пиновете.
Фиг. 7: Хирургичен водач без метални втулки за напълно водено поставяне на импланти.
В деня на операцията бе приложена локална анестезия и първият хирургичен водач бе стабилизиран върху останалите зъби, за да се подготвят пет позиции за пет места за анкерови (фиксиращи) щифтове. След това компрометираните зъби бяха екстрахирани и втори хирургичен водач бе закрепен на подготвените места. Бяха поставени осем импланта (Osstem TSIII SOI, Osstem Implant), пет имедиатни и три в предварително зарастналите области. Всички поставяния бяха изцяло направлявани с помощта на хирургичен водач без метални втулки и специален хирургичен комплект (OneGuide KIT, ; фиг. 8).11 Един имплант изискваше крестален синус лифт, което беше извършено с помощта на изцяло направляван подход (OneCAS KIT, Osstem Implant; фиг. 9). За запълване на екстракционните алвеоли и синусовата кухина беше използван ксенографтен костен материал (A-Oss, Osstem Implant).12 Многоелементни абатменти и временни абатменти (Osstem Implant) бяха незабавно поставени върху всички импланти, съгласно концепцията „един абатмент, еднократно“.13 Предварително изработена временна протеза на базата на PMMA с метално укрепване беше имедиатно фиксирана в устата. Бяха направени chairside корекции, за да се усъвършенства протезата и да се осигури правилна оклузия (фиг. 10–12). Пациентът получи постоперативни инструкции и медикаменти.
Фиг. 8: Поставяне на имплант с помощта на OneGuide KIT.
Фиг. 9: Напълно направляван крестален подход към синуса с помощта на OneCAS KIT.
Фиг. 10: Временна протеза, подсилена с метал.
Фиг. 11: Временна протеза, подсилена с метал, фронтален изглед.
Фиг. 12: Временна протеза, подсилена с метал, оклузален изглед.
Четири месеца по-късно бяха снети дигитални отпечатъци с помощта на Medit i900. Те включваха отпечатък на функционалната временна протеза, отпечатък на анатомията на меките тъкани и отпечатък с персонализирани сканиращи тела, с странични разширения за повишаване на точността на интраоралното сканиране (SmartFlag, APOLLO; фиг. 13). Беше използван нов цифров работен процес, наречен Medit SmartX (Medit Link версия 3.4.2) (фиг. 14). Тази система позволява разпознаване и подреждане в реално време, което подобрява предсказуемостта, ефективността и безопасността на цифровите отпечатъци на цялата дъга. За да се повиши крайната точност, беше приложена комбинация от техники за сканиране: права и зиг-загообразна в предните области и права в задните области.14
При второто посещение беше тестван PMMA прототип, поддържан от метална лента, за естетична и функционална точност. Пасивното прилягане на металната конструкция беше оценено с помощта на теста с един винт (Sheffield) и тактилна проверка с дентален експолорер (фиг. 15–17a–f).15, 16
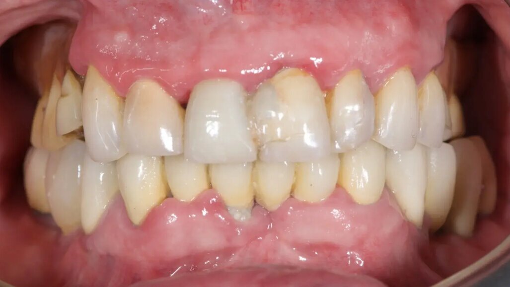
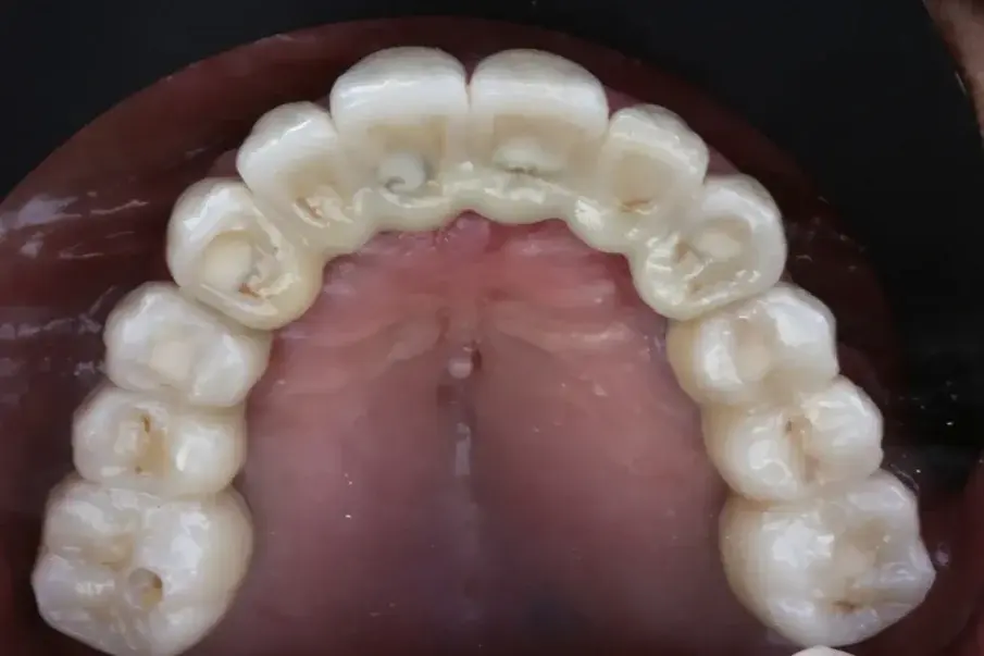
При последната среща беше поставена окончателната хибридна винтово-фиксирана протеза. Окончателната протеза се състоеше от CAD/CAM титанова рамка, завинтена към всички импланти, и три монолитни циркониеви протезни сегмента, залепени отгоре (фиг. 18а–в). Беше оценена оклузията и пациентът беше включен в четиримесечна програма за поддържане. При последната контролна визита (една година след поставянето на имплантите) всички импланти бяха успешни и пациентът беше удовлетворен от новата протеза (фиг. 19–22).
Фиг. 13: Сканиращи тела SmartFlag на място за интраорален отпечатък.
Фиг. 14: Работен процес Medit SmartX за интраорално сканиране на цялата дъга с помощта на Medit i900 и Medit Scan for Clinics (версия 1.13.2).
Фиг. 15: Интраорален тест на металната лента за оценка на точността и пасивното прилягане.
Фиг. 16: PMMA прототип за тестване на функционалността и естетиката.
Фиг. 17а–е: Периодични рентгенови снимки по време на теста с един винт.
Фиг. 18а–в: Хибридна окончателна протеза, състояща се от CAD/CAM титанова лента и три циркониеви протезни сегмента, залепени отгоре.
Фиг. 19: Окончателна протеза при едногодишното проследяване, фронтален изглед.
Фиг. 20: Окончателна протеза при едногодишното проследяване, оклузален изглед.
Фиг. 21: Едногодишно проследяване, лицев изглед.
Фиг. 22: Едногодишна панорамна томография на зъбите.
Дискусия
Този случай подчертава развиващата се роля на дигиталните технологии за постигане на висока прецизност и предсказуемост при рехабилитацията на цяла зъбна дъга с импланти. Един от ключовите фактори за дългосрочния успех при такава рехабилитация е пасивното прилягане на окончателната протеза. Истинското пасивно прилягане минимизира механичното напрежение върху имплантите и заобикалящата кост, като намалява риска от биологични или технически усложнения като периимплантит, разхлабване на винтовете или фрактуриране на конструкцията.15, 16. В този случай комбинацията от мултиюнит абатмънти, интраорално сканиране и метална конструкция, изработена с CAD/CAM, допринесе за проверката на пасивното прилягане чрез тест с един винт и тактилна оценка.15
Друг критичен фактор, който влияе върху дългосрочните клинични резултати, е 3D позиционирането на имплантите. Точното поставяне на имплантите по отношение на дълбочина, ъгъл и мезиодистално разстояние пряко влияе върху протезното прилягане, оклузалната хармония и разпределението на натоварването.17 В обеззъбена горна челюст, където анатомичните ограничения и подвижността на меките тъкани представляват предизвикателство за ръчните техники, използването на компютърно-направлявана хирургия се оказва особено ценно. В този случай напълно направляваното поставяне на импланти беше улеснено от дигиталното планиране и 3D-принтираният хирургичен водач, закрепен с щифтове.18 Този протокол позволи минимално инвазивен подход и изпълнение на крестален синус лифт, което илюстрира как направляваната хирургия може да се справи с анатомичната сложност с минимална инвазивност. Прецизността, която осигурява виртуалното планиране, се превръща директно в хирургическа точност, подобрявайки както предсказуемостта на протезата, така и резултатите за пациента.19
Интегрирането на технологиите за интраорално сканиране и CBCT изображения позволи безпроблемен, неинвазивен дигитален работен процес от диагностичната оценка до поставянето на протезата. Този подход позволи прецизно планиране на импланта, протезен дизайн и изработване на персонализиран хирургичен водач, всичко това съобразено с анатомията на пациента и протезните изисквания. За разлика от традиционните работни процеси, дигиталните инструменти намаляват вероятността от ръчни грешки и предлагат значителни предимства по отношение на комфорта на пациента, ефективността и възпроизводимостта.20
Ключова иновация в този случай беше използването на Medit SmartX, платформа, задвижвана от изкуствен интелект, която подобрява точността на интраоралното сканиране чрез оптимизиране на разпознаването и подреждането на сканираното тяло. Системата използва изкуствен интелект, за да намали потенциалните несъответствия по време на събирането на данни за цялата дъга – една от най-критичните фази в цифровата имплантология. Medit SmartX предостави опростен протокол за сканиране, комбиниращ прави и зигзагообразни модели в предните области и прави сканирания в задните области, което в крайна сметка доведе до по-висококачествени набори от данни и по-добро прилягане на протезите. Тези подобрения бяха особено полезни при лечението на напълно обеззъбената горна челюст, където липсата на анатомични ориентири може да компрометира целостта на данните. Работният процес на Medit SmartX може да оптимизира принципите на подреждане на данните от сканирането и настройките за сканиране, за да се постигнат по-прецизни данни в сравнение с конвенционалните процеси. Това би помогнало да се подчертаят по-добре техническите предимства на Medit SmartX.
Интегрирането на прецизни и предсказуеми хирургически комплекти, като тези, използвани в този клиничен случай, в комбинация с импланти, проектирани с усъвършенствани повърхностни технологии, предназначени да подобрят остеоинтеграцията – повърхността SOI на Osstem Implant – играе жизненоважна роля за постигането на надеждни и последователни клинични резултати. Тези иновации не само оптимизират хирургичните процедури, но и подпомагат дългосрочния успех в имплантологията, което ги прави незаменими инструменти за съвременните стоматолози.
Въпреки успешния резултат, този случай има някои ограничения. Тъй като се отнася за единичен случай, резултатите не могат да бъдат обобщени за всички клинични сценарии. Пациентът имаше благоприятен костен обем и добро общо здравословно състояние, условия, които може да не са налице при по-компрометирани индивиди. Освен това, макар системата Medit SmartX да показа обещаващи резултати, нейната дългосрочна ефективност, възпроизводимост при различни оператори и интеграция с други софтуерни екосистеми изискват по-нататъшно проучване. Оценката на пасивното прилягане се основаваше на клинични методи, които, макар и широко приети, остават частично субективни без проверка чрез дигитален стрес анализ или измервания на индустриално ниво. Освен това, времето и усилията, необходими за усвояване на ефективното използване на AI-подпомагани инструменти и изцяло дигитални работни процеси, остават значителни. Успешното приложение изисква не само достъп до съвременно оборудване, но и дълбоко разбиране на дигиталното планиране, софтуерната логика и потенциалните интраоперативни корекции.
Заключение
Този случай подчертава клиничната стойност на изцяло дигиталните работни процеси, подкрепени от технологии, подпомагани от изкуствен интелект, за постигане на точна, ефективна и ориентирана към пациента рехабилитация на цялата зъбна дъга. Комбинацията от направлявана хирургия, прецизно 3D позициониране на имплантите и протоколи за дигитална верификация позволява на клиницистите да предоставят протези с висока функционална и естетична предсказуемост. Макар че интегрирането на системи като Medit SmartX може да подобри точността на сканирането и прилягането на протезите, са необходими допълнителни проучвания, включително клинични изпитания и анализи с участието на много оператори, за да се валидират напълно тези иновации и да се определи по-широката им приложимост.
To post a reply please login or register