Хипертрофията на големия дъвкателен мускул се определя като прекомерно нарастване на мускулната маса в трансверзална посока и се среща по-често между второто и четвъртото десетилетие от живота. Въпреки че етиологията й е многофакторна, основната причина е бруксизмът. Съществуват много алтернативи за лечение, сред които е инжектирането на ботулинов токсин в масетерния мускул, което е доказано безопасен и ефективен вариант.
Ботулиновият токсин е мощен невротоксин, който при инжектиране в мускула, предизвиква смущения в механизма на невротрансмитерите, като инхибира освобождаването на ацетилхолин в аксоналните краища на моторните неврони и по този начин предизвиква селективна парализа, намалена мускулна контракция и последваща мускулна атрофия.² ³ Именно последният ефект се използва за справяне с хипертрофията на масетера, намаляване на размера му и подобряване на естетиката на пациента.
Съществува обширна литература относно параметрите, които трябва да се спазват при инжектирането на ботулинов токсин, за да се избегнат рисковите зони и да се намалят усложненията. През 2005 г. Kim et al. определят безопасна зона за инжектиране на ботулинов токсин, очертана вертикално от предната и задната граница на масетера и хоризонтално от линия, прокарана по долната граница на долната челюст до долночелюстния ъгъл, и линия, прокарана от ушния лобул към ъгъла на устата.⁴ През 2010 г. Kim et al. определиха разделянето на масетерния мускул на шест зони, според които инжектирането в зони I, II и III би било свързано с нежелани ефекти, като например нараняване на изходния канал на паротидната жлеза, а инжектирането в зона VI не би било ефективно за масетерната хипертрофия. Зони IV и V са определени като безопасни за инжектиране на ботулинов токсин.⁵
Фиг. 1а: Първоначални екстраорални изображения.
Фиг. 1b: Първоначални екстраорални изображения.
Фиг. 1с: Първоначални екстраорални изображения.
Доклад на клиничен случай
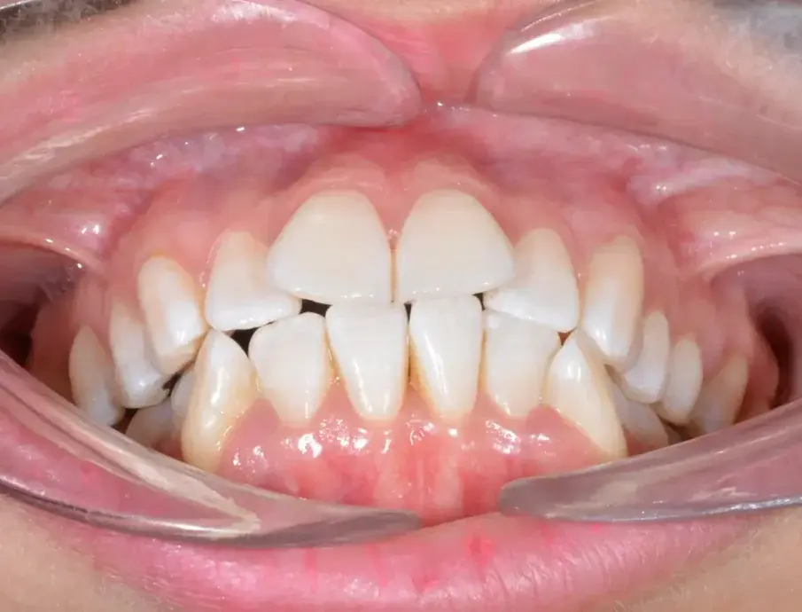
35-годишна пациентка постъпва със струпване на зъби, болки в мускулите и ставите и главоболие след събуждане. При прегледа се установява I скелетен клас със струпване и бимаксиларна протрузия. Изследването на лицето показа конвексен профил с изпъкнали устни и квадратна форма на лицето, която се засилва при усмивка (фиг. 1-4). Тя съобщава за бруксизъм и се наблюдава двустранна хипертрофия на масетерите, но няма изменения в темпоромандибуларните стави.
Фиг. 2а: Първоначални интраорални изображения.
Фиг. 2b: Първоначални интраорални изображения.
Фиг. 2c: Първоначални интраорални изображения.
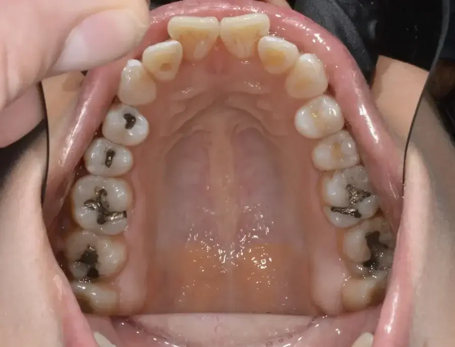
Фиг. 3а: Първоначални оклузални изображения.
Фиг. 3b: Първоначални оклузални изображения.
Фиг. 3c: Първоначални оклузални изображения.
Фиг. 4а.
Първоначална цефалометрична рентгенография и панорамна дентална томография.
Фиг. 4b.
Първоначална цефалометрична рентгенография и панорамна дентална томография.
Целите на лечението включваха коригиране на струпването, постигане на оклузия от клас I, коригиране на профила на пациента и намаляване на бруксизма, заедно със свързаните с него признаци и симптоми. Планирано е ортодонтско лечение с алайнери, заедно с прилагане на ботулинов токсин за признаците и симптомите на бруксизма и за подобряване на естетиката на лицето.
Преди началото на лечението с алайнери, вторите премолари на горната и долната челюст бяха екстрахирани, за да се създаде пространство. При ортодонтско лечение се постига дистализация на предните зъби чрез използване на максимално мандибуларно закрепване и умерено максиларно закрепване (фиг. 5–7).
С ортодонтското лечение беше постигната дистализация на предните зъби чрез използване на максимална опора на долната челюст и умерена на горната челюст (фиг. 5–7). В края на лечението беше постигната стабилна двустранна оклузия от клас I, както и нормално наклоняване и ретрузия на предните зъби, което доведе до подобряване на профила (фиг. 8–10).
Сред препоръките след лечението беше изработването на зъбна шина, която пациентът трябваше да носи всяка нощ, за да предпази зъбите от прекомерната оклузална сила на бруксизма.
Фиг. 5: Показано е максималното закрепване, планирано за този случай.
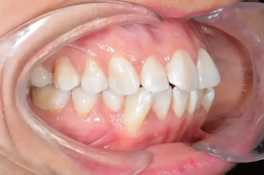
Фиг. 6а: Интраорални и оклузални снимки по време на лечението (след 32-рата двойка алигнатори).
Фиг. 6b: Интраорални и оклузални снимки по време на лечението (след 32-рата двойка алигнатори).
Фиг. 6c: Интраорални и оклузални снимки по време на лечението (след 32-рата двойка алигнатори).
Фиг. 6d: Интраорални и оклузални снимки по време на лечението (след 32-рата двойка алигнатори).
Фиг. 6e: Интраорални и оклузални снимки по време на лечението (след 32-рата двойка алигнатори).
Фиг. 6f: Интраорални и оклузални снимки по време на лечението (след 32-рата двойка алигнатори).
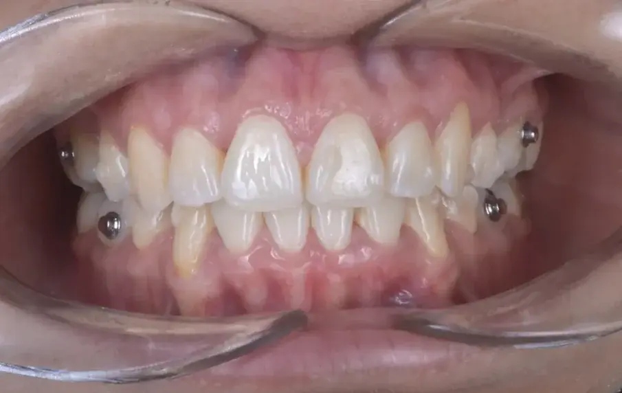
Фиг. 7а: Окончателни интраорални снимки.
Фиг. 7b: Окончателни интраорални снимки.
Фиг. 7c: Окончателни интраорални снимки.
Фиг. 7d: Окончателни интраорални снимки.
Фиг. 8а: Окончателни екстраорални снимки един месец след прилагането на ботулинов токсин.
Фиг. 8b: Окончателни екстраорални снимки един месец след прилагането на ботулинов токсин.
Фиг. 9а: Краен профил и усмивка.
Фиг. 9b: Краен профил и усмивка.
Фиг. 10a: Окончателна цефалометрична рентгенография и панорамна томография на зъбите.
Фиг. 10b: Окончателна цефалометрична рентгенография и панорамна томография на зъбите.
След приключване на ортодонтското лечение, ботулинов токсин беше инжектиран двустранно в масетерния мускул и предната част на темпоралния мускул. По време на първата сесия бяха направени три инжекции в масетерния мускул, като бяха приложени 2,5 U в най-горната точка и 5,0 U във всяка от двете долни точки, общо 12,5 U на масетер. След това, в същата сесия, 10 U ботулинов токсин бяха инжектирани в предната част на темпоралния мускул. След 14 дни беше проведена втора сесия. Тъй като пациентът имаше малко по-голяма хипертрофия от дясната страна в сравнение с лявата, 5,0 U ботулинов токсин бяха инжектирани в десния масетер и 2,5 U в левия масетер.
В края на лечението пациентката показа значително подобрение в профила си, благодарение на ортодонтското лечение (фиг. 11) и подобрение във формата на лицето си благодарение на инжектирането на ботулинов токсин в мускулите елеватори (фиг. 12). При пациентката също се наблюдава и намаляване на бруксизма и неговите симптоми благодарение на комбинацията от двете лечения.
Заключение
Този случай показва, че холистичният подход към лечението е от съществено значение за постигането на желаните резултати за пациента. Нито едно от двете лечения само по себе си не би могло да разреши оплакванията на пациента при първата консултация, което показва колко е важно да се изслушва внимателно пациентът по време на първия му преглед, за да се разберат неговите притеснения и очаквания, и да се използват всички налични възможности за лечение, без да се ограничава лечението до само една специалност.
Редакционна бележка:
Тази статия е публикувана в aligners—международно списание за Аligner Оrthodontics, том 3, брой 1/2024. Пълен списък с препратки можете да намерите тук.
Съавтори: Д-р Camila Reino е доктор по дентална медицина и магистър по ортодонтия от Университета на Андите в Сантяго, Чили. Д-р Kristen Kock е доктор по дентална медицина от Университета на Сан Себастиан и магистър по ортодонтия от Университета на Андите в Сантяго, Чили.
Теми:
Етикети:
Когато става въпрос за износване на зъбите, има две основни етиологични причини, с ...
ЛОНДОН, Обединеното кралство: Фактори като глюкозен метаболизъм, хранене, ...
БРЮКСЕЛ, Белгия: Европейската федерация по пародонтология (EFP) обяви ново ...
Звукът от зъболекарските машинки и системата за аспирация поражда чувството на ...
Зъболекари и биомедицински инженери за пръв път проведоха лечение на пациент с тежък...
Варда, Индия: Употребата на ботулинов токсин (БТ), наричан обикновено ботокс, набира ...
Учени от денталния факултет към Indiana University в момента разработват нови биоматериали, ...
Чувствителните методи за диагностика и лечение имат за цел ранното откриване на ...
Според учени от САЩ слюнката е среда, в която могат да се открият признаци на орални и ...
Анестезиран 18-годишен пациент почина наскоро след кореново лечение в дентален ...
Уебинар на живо
чт. 30 април 2026
2:00 (EET) Sofia
Dr. Renato Leonardo D.M.D.
Уебинар на живо
чт. 30 април 2026
8:00 (EET) Sofia
Уебинар на живо
нд. 3 май 2026
7:00 (EET) Sofia
Dr. Rickard Brånemark MSc, MD, PhD, Dr. Robert Gottlander DDS
Уебинар на живо
пн. 4 май 2026
3:00 (EET) Sofia
Уебинар на живо
вт. 5 май 2026
5:00 (EET) Sofia
Уебинар на живо
вт. 5 май 2026
7:00 (EET) Sofia
Уебинар на живо
вт. 5 май 2026
8:00 (EET) Sofia
Dr. Maximilian Dobbertin M.Sc
To post a reply please login or register