Новите материали и напредналите технологии позволиха възраждането на предварително изработените композитни фасети, използвани за възстановяване на предни зъби. Настоящата статия представя клиничен случай, в който се поставят шест предварително изработени композитни фасети, като се постига оптимален естетичен резултат.
Преди време поставянето на директни композитни възстановявания беше една мечта. Композиционните материали нямаха добри оптични свойства, наподобяващи тези на зъбите. В края на 90-те години на ХХ век производителите започнаха да подобряват оптичните свойства на композиционните материали като представиха широка гама от тоналности за заместване на емайл и дентин и подобрени оптични свойства. 1, 2
Въпреки това, наличното разнообразие обърка много дентални лекари, които се затрудниха в избора на цветове по време на възстановителните процедури. За съжаление, малко от тях владееха наистина добре изкуството да възпроизвеждат реалистични резултати с директната стратификационната техника поради особеностите и спецификите в процеса на усвояване. Това важи особено за случаи, които включват изработването на директни фасети на фронтални зъби.
Фасетите за фронтални зъби са предложени за първи път през 1937г. 5 Почти 40 години по-късно техниката бива преразгледана без особен успех, което се дължало на ограниченията във възможностите на материалите (матрица от метилметакрилат и пълнител с големи стъклени частици), които водели до бърза загуба на повърхностния блясък и разрушаване на повърхностния слой. 4
С появата на адхезивните порцеланови фасети, които също имат за предимство индивидуализирания процес на изработка, концепцията за предварително изработените фасети на практика беше изоставена. До днес.
Клиничен случай
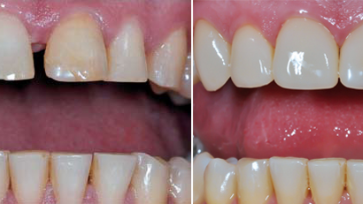
При нас дойде пациент на 38 години с многобройни естетични проблеми на фронталните зъби с желание за корекция на усмивката. На фиг. 1 наблюдаваме състоянието му преди лечението, където се забелязват големи обтурации и нарушения в естествената анатомия и цвета на зъбите, преоцветен девитализиран зъб (горен ляв централен резец) в резултат на ендодонтско лечение, извършено преди години.
Пациентът искаше да коригира диастемите и тремите си. Друго съображение беше зъбите да нямат изкуствен външен вид след лечението и крайният резултат да се слива с естествените зъби както по цвят, така и по форма. В този случай това беше особено важно, тъй като зъбите на пациента варираха значително по цвят: те бяха най-тъмни и оцветени в шиечната си част и значително по-прозрачни и светли в инцизалната трета.
След като обсъдихме различните лечебни възможности се спряхме на поставянето на фасети на предните зъби като използвахме една новаторска система за предварително изработени композитни фасети, наречена Edelweiss (Ultradent). Системата предлага на клинициста алтернатива на директните едносеансови фасети и е една добра възможност в сравнение с керамичите фасети. Последните бяха отхвърлени от пациента като възможност по финансови съображения.
Фасетите са изработени от композит, но по време на производството им са обработени с налягане и температура. Това позволява получаването на много здрави и тънки фасети (вестибуларната повърхност бе около 0,5мм, най-фини бяха цервикално, а най-солидни – инцизално). Те са обработени и чрез процес на витрификация с лазер, по време на който се постига гладка, чиста, неорганична повърхност, еднородна и нежна като порцелан, с отличен блясък.
Първо ретрахирахме гингивалните тъкани с ретракционна корда (Ultrapak #0, Ultradent). След това извършихме препарацията, първо с диамантени пилители на висока скорост и водно-въздушно охлаждане. Финалното препариране осъществихме отново с диамантени пилители, но за обратен наконечник (KaVo). Фигура 2 показва вече препарираните зъби. Тъй като фасетите са относително тънки в сравнение с индиректните, може да се забележи, че почти цялата препарация е извършена в зоната на емайла, с изключение на накои участъци цервикално, където може да се видят зони на експониран дентин. Препарацията е с дълбочина по-малко от 0,8мм, което е повече от достатъчно за фасетата и за композиционния материал.
Системата Edelweiss включва прозрачен водач с размери за определяне на точния размер на фасетата. От трите възможности, с които разполагахме (голям, среден и малък размер), се спряхме на малкия размер. Фиг. 3 показва фасетите, поставени върху препарираните зъби. На снимката оценихме относително доброто пасване на фасетите, но се изискваше допълнително ажустиране с помощта на конвенционален композит, особено в цервикалната зона на горните леви централни и латерални резци.
След подходящо препариране и финиране на зъбната повърхност извършихме циментирането на фасетите по двойки, като започнахме с двата централни резеца (десен и ляв), след това латералните резци (десен и ляв) и накрая канините (десен и ляв). Използвахме композита Amelogen Plus (Ultradent) и така постигнахме директно формата върху зъбната структура (с помощта на един тънък слой от А3), както и в задните участъци на фасетите Edelweiss. За да постигнем естествено преливане на цветовете използвахме цветовете А4, А3 и А2 и един финален транслуцентен слой - Trans Gray. Започнахме с А4 цервикално и завършихме с Trans Gray в зоната на режещия ръб.
Целият процес отне много по-малко време, отколкото очаквахме. Адаптацията на цвета на композиционния материал в интерпроксималните зони беше много добра и постигнахме емайлов цвят Enamel Neutral. Същият този цвят беше използван в цервикалната зона на горните леви централни и латерални резци, като стана много добро сливане с фасетите. Крайният резултат може да бъде видян на фиг. 4.
На фиг. 5 наблюдаваме близък план, показващ гингивалните тъкани 30 дни след процедурите. Наблюдаваме добър оздравителен процес. Фиг. 6а и б , 7а и б илюстрират ситуацията „преди” и „след” лечението. Демонстрира се добра естетична интеграция на меките тъкани и твърдите зъбни тъкани по отношение а формата и цвета. Използването на тези композитни фасети направи възможно решаването на всички проблеми и изисквания на пациента по един бърз и икономичен начин.
Заключение
Възраждането на фабричните фасети днес предлага една изгодна алтернатива, с която в сравнение с керамичните фасети предлагаме решение само в едно посещение. Това решение подлежи на поправки и е сравнително икономично и бързо, тъй като се избягват разходите за лаборатория и не изискват провизорни възстановявания. Усвояването на начина на работа с тази система е бързо и просто. Новите материали и технологичният напредък ни позволяват да получим една блестяща, резистентна, стъкловидна и неорганична повърхност, която се обработва по начин, идентичен с този за композиционни материали. Когато става дума за поставяне на фасети на фронтални зъби това решение предлага една нова и обещаваща алтернатива както на денталния лекар, така и на пациента.
Д-р Беолчи и д-р Форти упражняват професията си в частна дентална практика в Сао Пауло (Бразилия). За контакти: rafael.beolchi@usp.br.
Забележка: клиничният случай и всички снимки към него ще бъдат публикувани в бр. 7/2013г. на Dental Tribune.
Според бразилско проучване водородният пероксид, широко използван като избелващ ...
Четките за зъби са уязвими на замърсяване с микроорганизми, намиращи се не само в ...
Дамам, Саудитска Арабия: Методите за изработка и използваните материали при ...
Девет от десет млади хора проверяват смартфоните си още преди да станат сутрин и да ...
Базираният в Ню Йорк стартъп Quip наскоро получи финансиране от 10 млн. долара. ...
Съществуват множество погрешни разбирания относно избелващите пасти за зъби. ...
Базираният в Ню Йорк стартъп quip е производител на четки за зъби, чиято цел е да докаже,...
Приблизително 300 кашона с паста за зъби са откраднати от камион, паркиран на ...
За повечето хора четката за зъби не е нищо повече от предмет, който се използва всеки ...
Екип от международни учени предположи, че прародителят, свързващ съвременния ...
Уебинар на живо
чт. 30 април 2026
2:00 (EET) Sofia
Dr. Renato Leonardo D.M.D.
Уебинар на живо
чт. 30 април 2026
8:00 (EET) Sofia
Уебинар на живо
нд. 3 май 2026
7:00 (EET) Sofia
Dr. Rickard Brånemark MSc, MD, PhD, Dr. Robert Gottlander DDS
Уебинар на живо
пн. 4 май 2026
3:00 (EET) Sofia
Уебинар на живо
вт. 5 май 2026
5:00 (EET) Sofia
Уебинар на живо
вт. 5 май 2026
7:00 (EET) Sofia
Уебинар на живо
вт. 5 май 2026
8:00 (EET) Sofia
Dr. Maximilian Dobbertin M.Sc
To post a reply please login or register