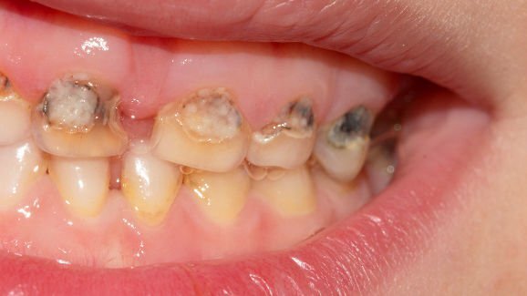
Ново изследване от САЩ предполага, че по-високите нива на кариесогенни бактерии в устата на майката могат да се окажат надежден индикатор за кариеси при нейното дете. Наскоро публикуваното проучване показва, че положителните бактериални проби в майчината слюнка са свързани не само с орална инфекция сред децата, но също така предсказват появата на кариес на ранното детство.
В проучването изследователи от Калифорнийския университет са взели зъбни и слюнчени бактериални проби от латиноамерикански майки с нисък доход и техните деца през интервали между 3 и 6 месеца, започвайки от бременността до 36-ия месец, за да се изчисли разпространението на детските кариеси. Като цяло проучването включвало 243 двойки майки с дете.
В процеса на проучването изследователите открили, че нивата на стрептококи от групата mutans и лактобацили в слюнката били по-високи при майките на деца, засегнати от кариеси, в сравнение с майките на деца без кариеси. Като цяло те забелязали, че разпространението на кариеса било два пъти по-високо при деца, чиито майки имали по-високи нива на бактерии.
Според Американската дентална асоциация кариесогенните бактерии, по-специално стрептококите от групата mutans, се предават скоро след поникването на първите зъби. Ето защо асоциацията препоръчва на родителите, включително и на бъдещите такива, да посетят зъболекар за лечение, за да намалят нивата на mutans streptococci при майката и по този начин да редуцират риска на детето от кариес на ранното детство.
Проучването, озаглавено „Майчините орални бактериални нива предсказват развитието на кариеси в ранното детство“, е публикувано на 19 декември 2013 г. в предпечатното онлайн издание на списанието Dental Research.
Предпазването на децата в ранна възраст от зъбен кариес трябва да бъде приоритет за ...
Според ново изследване на Националния университет на Сингапур (NUS) и Сингапурския ...
В наскоро проведено проучване американските учени откриват, че определени щамове ...
Проучване от Бразилия откри нови доказателства, че кърменето след пробива на ...
Нюйоркски дентален лекар в сътрудничество с CariFree, компания за проучвания в ...
Проектът Caries Risk Management (CARMEN) е обсервационно проучване, което се провежда в момента, ...
Редица проучвания свързват пушенето и прекомерното пиене на алкохол с развитието...
Ива е на 23 години, от град Габрово. Учи в Медицинския университет във Варна, 5-и курс ...
Засягащ 60-90% от децата в училищна възраст и почти всички възрастни, зъбният кариес е ...
Пародонтални патогени, като Porphyromonas gingivalis и Fusobacterium nucleatum, произвеждат пет ...
Уебинар на живо
чт. 30 април 2026
2:00 (EET) Sofia
Dr. Renato Leonardo D.M.D.
Уебинар на живо
чт. 30 април 2026
8:00 (EET) Sofia
Уебинар на живо
нд. 3 май 2026
7:00 (EET) Sofia
Dr. Rickard Brånemark MSc, MD, PhD, Dr. Robert Gottlander DDS
Уебинар на живо
пн. 4 май 2026
3:00 (EET) Sofia
Уебинар на живо
вт. 5 май 2026
5:00 (EET) Sofia
Уебинар на живо
вт. 5 май 2026
7:00 (EET) Sofia
Уебинар на живо
вт. 5 май 2026
8:00 (EET) Sofia
Dr. Maximilian Dobbertin M.Sc
To post a reply please login or register