Search Dental Tribune

„Фотографията е абсолютно необходима за съвременната дентална практика“

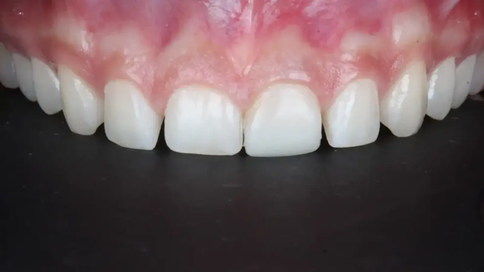
Д-р Mahfuz Rahman вярва, че всички зъболекари трябва да могат да правят висококачествени естетични дентални снимки. (Снимка: Anatoliy Cherkas/Shutterstock)

вт. 2 април 2024

запази

Д-р Mahfuz Rahman е зъболекар и основател на Frisco Dental Studio в Тексас, САЩ. Той също така е ентусиаст по дентална фотография и изпитва огромно удоволствие да заснема увереността и вълнението на пациентите си след дентално лечение. Този месец той ще сподели опита си в уебинар за дентална фотография, специално пригоден за специалисти по дентална медицина, в кампуса на академията на Dentsply Sirona. В навечерието на събитието Dental Tribune International имаше удоволствието да разговаря с д-р Rahman за значението на правенето на отлични клинични снимки в съвременната дентална практика и как това може да помогне за подобряване на грижите за пациентите и комуникацията.

Д-р Mahfuz Rahman (Снимка: Mahfuz Rahman)

Д-р Rahman, кои са основните принципи на денталната фотография, които всеки зъболекар трябва да познава, и какво оборудване трябва да притежава зъболекарят, за да прави висококачествени снимки?

Всеки зъболекар трябва да може да прави висококачествени естетични снимки с подходяща ретракция, осветление и рамкиране. Той трябва също така да познава основните принципи на блендата, или f-stop. Овладяването на този единствен аспект може да помогне на специалистите по дентална медицина да създават красиви снимки всеки път.

Основното оборудване включва цифрови огледално-рефлексни фотоапарати с един обектив (DSLR), макрообективи, външни светкавици, монтирани на стойки върху двуточкови скоби за светкавици и предаватели или приемници за светкавици.

Според вас доколко е важно съвременните практики по дентална медицина да владеят денталната фотография?

Фотографията е абсолютно необходима за съвременната дентална практика. В епохата на Instagram нашите страници в социалните медии са съвременните визитни картички на клиниките и кабинетите ни. Естетичните снимки на конкретни случаи показват на потенциалните пациенти видовете дентални услуги, които се извършват в този кабинет, както и вниманието на клиницистите към качеството и фините детайли.

Какъв е ефектът на денталната фотография върху комуникацията с пациентите и документирането на клиничните случаи?

Хубавите снимки са чудесен инструмент за комуникация с пациентите и помагат за по-лесното разбиране на конкретния случай. Снимките позволяват на пациента и на специалиста по дентална медицина да изразят по-добре притесненията си един пред друг. Те дават възможност на зъболекаря да общува по-добре със зъботехническите лаборатории и му позволяват да даде на пациентите нещо осезаемо, на което да се позоват по време на диагностиката.

Бихте ли споделили някои надеждни техники за заснемане на висококачествени изображения?

Използването на DSLR фотоапарат с макрообектив е абсолютно задължително. Впоследствие специалистите по дентална медицина могат да прикрепят към фотоапарата двуточкова скоба и да свържат близначна светкавица със soft boxes. След като това бъде направено, основното нещо, което трябва да се овладее, е бутонът f-stop на фотоапарата. За интраорални снимки се използват стойности от f/25 до f/29, а за портретни снимки – от f/13 до f/15.

Денталната фотография е отличен инструмент за представяне на случая и позволява на пациента да визуализира усмивката си след лечението. (Снимка: Mahfuz Rahman)

Добавянето на интраорални снимки към досиетата на пациентите значително подобрява документацията. (Снимка: Mahfuz Rahman)

 

Какви други теми ще обсъждате в уебинара си?

Ще разгледаме различни интраорални и портретни настройки за големи и малки кабинети. Ще разгледаме как да разположим пациента ефективно и какви аксесоари да използваме. Ще обсъдим и как да приложим лесни трикове за постигане на една качествена снимка, така че всеки член на екипа в кабинета да може да прави красиви снимки.

Редакционна бележка:

Уебинар на д-р Mahfuz Rahman е озаглавен „Овладяване на денталната фотография: Издигнете нивото на практиката си със завладяващи изображения“ (Mastering dental photography: Elevate your practice with compelling images)  се проведе на 20 март от 20:00 ч. по Гринуич. Повече информация за академичния кампус на Dentsply Sirona можете да намерите тук.

Етикети:
To post a reply please login or register
advertisement
advertisement