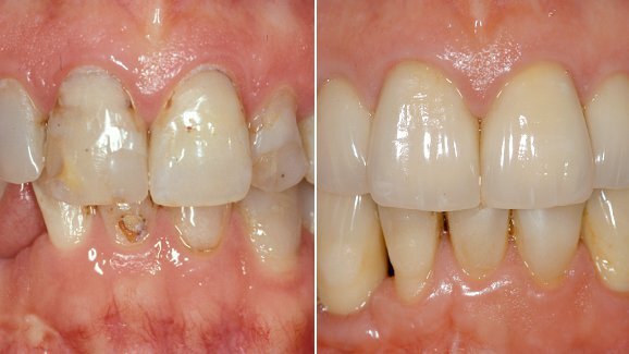
Структурираният подход към лечебното планиране на комплексни клинични случаи с помощта на съвременните дигитални технологии е тема на уебинар, представен от DT Study Club. Онлайн курсът е безплатен и може се наблюдава от всеки компютър.
В семинара водещият д-р Роналд Юнг напътства денталните лекари относно установените процеси за планиране на сложни клинични случаи, като използва добре развита структура и новаторското средство за лечебно планиране на Dental Campus – платформа за електронно обучение.
Разгледаният комплексен случай засяга разнообразните клинични аспекти на костна и мекотъканна регенерация, поставянето на имплантати, както и протетичните въпроси и избора на материал.
Участниците имат възможността да проследят подробностите около процеса и да разширят собствените си способности за лечебно планиране. В допълнение средството за планиране на Dental Campus им позволява да придобият умения в лечебното планиране в пространството на платформата Dental Campus.
Едночасовият уебинар дава възможност на денталните лекари да приложат систематичен подход към лечебното планиране на комплексни случаи. След излъчването му на живо на 28 март той беше качен и е достъпен тук за всички потребители, регистрирани безплатно в платформата dtstudyclub.com.
Структуриран подход към лечебното планиране за комплексни клинични случаи с помощта...
На 20 октомври (четвъртък) от 18.00 часа българско време международната компания Planmeca ...
През последните 20 години пред зъболекарите и зъботехниците непрекъснато се ...
От 29 август до 1 септември в Мадрид ще се проведе Годишният световен дентален конгрес ...
Схващането, че ежегодно са нужни двукратни превантивни посещения при денталния ...
38-ото издание на Международното дентално шоу (IDS) ще се проведе от 12 до 16 март догодина ...
Bone, Biomaterials & Beyond Academy е новосъздадена международна научна асоциация на ...
Европейската федерация по пародонтология (EFP) и Oral-B стартираха кампания за ...
Милано, Италия: На 16 октомври 2014 г. в рамките на International Expodental в Милано стартира the ...
При единичните възстановявания с импланти в естетичната зона много клиницисти се ...
Уебинар на живо
чт. 30 април 2026
2:00 (EET) Sofia
Dr. Renato Leonardo D.M.D.
Уебинар на живо
чт. 30 април 2026
8:00 (EET) Sofia
Уебинар на живо
нд. 3 май 2026
7:00 (EET) Sofia
Dr. Rickard Brånemark MSc, MD, PhD, Dr. Robert Gottlander DDS
Уебинар на живо
пн. 4 май 2026
3:00 (EET) Sofia
Уебинар на живо
вт. 5 май 2026
5:00 (EET) Sofia
Уебинар на живо
вт. 5 май 2026
7:00 (EET) Sofia
Уебинар на живо
вт. 5 май 2026
8:00 (EET) Sofia
Dr. Maximilian Dobbertin M.Sc
To post a reply please login or register