Светът на денталната имплантология непрекъснато се развива и разраства. На 13 септември, четвъртък, в 20.00 ч. българско време Dental Tribune Study Club ще представи безплатен уебинар, който ще се фокусира върху една от новите имплантологични разработки – концепцията V3. С помощта на редица клинични примери и подробности участниците в онлайн обучението ще имат възможност да се запознаят с предимствата на импланта при функционални и естетични рехабилитации. Лектор ще бъде един от създателите на имплантната система V3 – проф. Нитцан Бичачо.
Резултат от скорошни биологични и биомеханични открития и десетилетия клиничен опит, подкрепен от научни данни в областта, системата показва отлични качества при запазването на костите и меките тъкани. Тя също така има висока имедиатна стабилност, осигурява отличен контрол при имплантиране и предлага широк спектър от иновативни опростени протетични компоненти, които позволяват по-бърз оздравителен процес и подобрен отговор на околните тъкани.
Проф. Бичачо е доживотен член и бивш президент на Европейската академия по естетична дентална медицина. Понастоящем е преподавател в денталния факултет на Еврейския университет в Йерусалим и Университета в Тел Авив. Редактор на редица клинични журнали.
Едночасовият уебинар, озаглавен „Тайните на имплантната система V3”, ще бъде излъчен на живо онлайн на 13 септември, четвъртък, в 20.00 ч. българско време. Участниците ще имат възможност да задават въпроси на лектора посредством чат прозорец, както и да получат 1 кредит за продължаващо образование след успешното попълване на въпросник по дискутираните теми.
Денталните професионалисти, които искат да участват в курса, могат да се регистрират онлайн тук.
В безплатен уебинар на Dental Tribune Study Club, който ще бъде излъчен на живо онлайн на 11 май, ...
На 12 октомври (събота) в София, ще бъде представена иновативна патентована ...
Изправени пред все по-скъпото здравеопазване, застаряващото население и напредъка ...
На 30 и 31 март в хотел „Маринела“ се проведе лекционно-практическият курс „Ключови ...
Подобряването на цялостното орално здраве на населението и нарастващите изисквания ...
На 21 март 2015 г. за първи път в България ще се състои обучение за работа с ортодонтската...
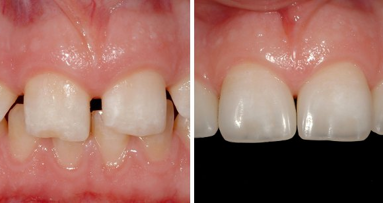
При единичните възстановявания с импланти в естетичната зона много клиницисти се ...
В безплатен уебинар, който предстои да бъде излъчен на 18 декември, понеделник, ще ...
Важно е денталните лекари по ресторативна дентална медицина и оралните хирурзи да ...
На 28 и 29 март в София „Медина Био“ ООД организира пролетното издание на популярния ...
Уебинар на живо
чт. 30 април 2026
2:00 (EET) Sofia
Dr. Renato Leonardo D.M.D.
Уебинар на живо
чт. 30 април 2026
8:00 (EET) Sofia
Уебинар на живо
нд. 3 май 2026
7:00 (EET) Sofia
Dr. Rickard Brånemark MSc, MD, PhD, Dr. Robert Gottlander DDS
Уебинар на живо
пн. 4 май 2026
3:00 (EET) Sofia
Уебинар на живо
вт. 5 май 2026
5:00 (EET) Sofia
Уебинар на живо
вт. 5 май 2026
7:00 (EET) Sofia
Уебинар на живо
вт. 5 май 2026
8:00 (EET) Sofia
Dr. Maximilian Dobbertin M.Sc