Search Dental Tribune

Изследване показва, че минимално инвазивното нехирургично лечение е ефективно при вътрешнокостни дефекти

Минимално инвазивната нехирургична терапия при пациенти с вътрешнокостни дефекти има за цел да сведе до минимум травмата на тъканите и да подобри заздравяването на раните, като се избягват хирургичните разрези и зашиването. (Снимка: zlikovec/Shutterstock)

ЛОНДОН, Обединеното кралство: Въпреки подобренията в лечението, вътрешнокостните дефекти са свързани с прогресиране на пародонталните заболявания и загуба на зъби, освен ако не се лекуват със сложни операции. Сега, в първото по рода си мултицентрово проучване, изследователи от Факултета по дентална медицина, орални и лицево-челюстни науки към Кралския колеж в Лондон анализират клиничните и рентгенографските резултати на вътрекостни дефекти, лекувани с нехирургичен подход, и установяват, че това е подходяща алтернатива за лечение.

Въпреки успехите си, регенеративната хирургия е свързана със заболеваемост, усложнения и високи разходи за материали. Резултатите невинаги са лесно предвидими и се съобщава за клинични неуспехи и непълен успех. Вследствие на това се преминава към по-удобни за пациентите алтернативи, като например минимално инвазивна нехирургична терапия (MINST). Целта на този подход е да се сведе до минимум травмата на тъканите и да се подобри заздравяването на раните, като се избегнат хирургичните разрези и зашиването. Тъй като обаче предвидимостта, всеобхватността и широкото приложение на MINST остават неясни, целта на научния екип е да оцени ефекта на MINST при вътрешнокостни дефекти.

В рамките на проучването са оценени данни за 48 пациенти с един или повече вътрешнокостни дефекти, лекувани в частни здравни заведения в Обединеното кралство, Италия и Испания. Пациентите са получили пародонтална терапия, включваща MINST. Клиничните и периапикалните рентгенографски данни са анализирани в началото на лечението и 12 месеца по-късно.

Средната обща дълбочина на рентгенографския дефект е намалена с 1,42 mm, а ъгълът на дефекта е увеличен с 3°. Статистически значими подобрения в дълбочината на сондиращия джоб (PPD) и клиничното ниво на прикрепване (CAL) се наблюдават на 12 месеца в сравнение с изходното ниво. При 66,7 % от дефектите беше постигната стойност на PPD от 4 mm или по-малко, а 58,3 % от дефектите получиха допълнително 3 mm CAL. При по-дълбоките и по-тесните дефекти се наблюдават съответно по-големи рентгенографски и клинични подобрения.

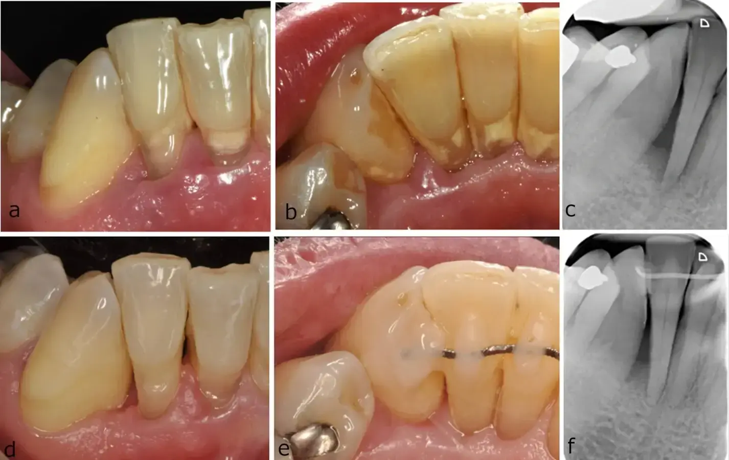
Фиг. 1: Клинични снимки (а-в) и снимки от 12-месечно проследяване и рентгенографии (г-г) на дистален вътрекостен дефект, засягащ десен латерален резник на долната челюст. Дълбочината на сондиращия джоб е намалена от 12 мм на 3 мм в дистобукалната част на десния латерален резник на долната челюст след минимално инвазивно нехирургично лечение и шиниране. (Изображение: © 2024 Mehta et al., лицензирано под CC BY 4.0)

 

"Тези констатации съвпадат с резултатите, докладвани в предишни едноцентрови проучвания относно MINST, като предоставят допълнително потвърждение, че тази атравматична техника, която свежда до минимум увреждането на тъканите и травмата, като същевременно насърчава стабилността на гингивалния ръб и намалява времето за работа на стола, може значително да подобри вътрекостните дефекти", заявяват авторите на изследването. Те обаче подчертават, че постигането на клиничната цел за PPD под 5 mm и липса на кървене при сондиране може да изисква хирургична намеса в някои случаи.

Освен това изследователите посочват, че основните ограничения на това проучване са липсата на контролна група и изключването на пушачи, което ограничава възможността за обобщаване на резултатите, както и използването на нестандартизирани рентгенови снимки.

"Резултатите от проучването показват валидността на този метод като потенциална техника за спасяване на много зъби с напреднали проблеми с венците, без да се налага хирургическа намеса", казва съавторът д-р Luigi Nibali, професор по пародонтология в Кралския колеж, в съобщение за пресата. "Това има потенциал да спести разходи на NHS [Националната здравна служба] и на пациентите, а лечението, разбира се, е много по-удобно за тях", допълва той.

Авторите на проучването подчертават, че MINST трябва да се счита за приложим подход за лечение и че ефективността му трябва да бъде потвърдена чрез допълнителни контролирани многоцентрови проучвания.

Изследването, озаглавено  "Минимално инвазивна нехирургична пародонтална терапия на интракостни дефекти: Проспективно многоцентрово кохортно проучване" (“Minimally invasive non-surgical periodontal therapy of intrabony defects: A prospective multi-centre cohort study”) е публикувано онлайн на 6 май 2024 г. в Journal of Clinical Periodontology, преди да бъде включено в изданието.

Теми:
Етикети:
To post a reply please login or register
advertisement
advertisement