През март 2005 г. 38-годишен британски войник, разквартируван в Германия, загубил възможността си да създава нови спомени, след като бил подложен на рутинно лечение на кореновите канали. И до днес той не може да запомни нищо за повече от 90 минути, въпреки че според лекуващите го лекари мозъкът му е напълно невредим и не е претърпял травма, която би могла да е причина за амнезията.
„Помня, че седнах на зъболекарския стол и зъболекарят ми сложи местна упойка“, сподели пред BBC мъжът, пожелал самоличността му да се запази в анонимност. От този момент нататък не си спомня нищо. Всяка сутрин той се събужда с мисълта, че все още е войник на служба в Германия през 2005 г., на когото му предстои посещение при зъболекаря за операция на кореновите канали.
Немският зъболекар осъзнал едва след като приключил лечението, по време на което не възникнали никакви усложнения, че нещо не е наред с пациента. Той бил пребледнял, дезориентиран и му било трудно да се изправи. Тъй като състоянието му не се подобрило, бил приет в болница, където останал няколко дни. В началото не бил в състояние да запомни нищо за повече от няколко минути.
Първоначалното предположение на лекарите било, че неблагоприятна реакция към упойката е причинила мозъчен кръвоизлив. Въпреки това те не успели да открият доказателство за травма. Накрая пациентът и семейството му се върнали в Англия, където случаят бил поет от д-р Джералд Бърджес, клиничен психолог в Лестър.
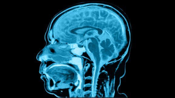
Според д-р Бърджес най-очевидното обяснение за състоянието на мъжа би могло да бъде форма на антероградна амнезия. Това означава, че е увреден хипокампусът – участък от мозъка, отговарящ за превръщането на информация от кратката първична памет в дълготрайна вторична, и спомените не могат да бъдат формирани и съхранявани правилно. Въпреки това данните от мозъчните скенери на мъжа не сочат отклонения. В такъв случай е възможно причината да се крие в психогенно заболяване. Д-р Бърджес провел подробни психиатрични тестове, за да определи дали мъжът е претърпял травма, но установил, че пациентът е емоционално здрав. Това било потвърдено от неговата съпруга, според която до посещението при зъболекар през 2005 г. в живота на мъжа й не е имало травмиращи събития.
Д-р Бърджес все още продължава изследванията на редкия случай на амнезия на пациента, като към момента подозренията са, че синапсите в мозъка биха могли да са изиграли важна роля. Всеки път когато се формира нов спомен и се прехвърли в дълготрайната памет, синапсите се изграждат наново, което включва производството на нови протеини. Възможно е този синтез на протеини да е блокиран в случая на пациента на д-р Бърджес, като така му пречи да генерира нови дълготрайни спомени. За да изследва хипотезата си още по-задълбочено, д-р Бърджес проучва пет подобни случая на мистериозна загуба на паметта без наличието на увреждане на мозъка, описани в медицинската литература. Те биха могли да дадат отговор на въпроса защо лечението на кореновите канали, изглежда, е отключило загубата на паметта на мъжа. Всички тези случаи са по някакъв начин свързани с период на психологичен стрес при нужда от спешна медицинска помощ. „Би могло да се дължи на генетична предразположеност, за която трябва катализатор, който да предизвика процеса“, разказва д-р Бърджес за BBC.
„Една от причините да опишем случая на този конкретен пациент е, че в нашата клиника досега не сме били свидетели на нищо подобно и не сме сигурни как да го разберем, но усещаме, че е редно да представим резултатите така, както ги получихме, защото вероятно съществуват и други подобни случаи, или пък ще се намерят хора, които са по-наясно от нас какво би могло да е предизвикало амнезията“, казва д-р Бърджес.
Докладът на д-р Бърджес, озаглавен „Пълна антероградна амнезия вследствие на рутинна анестезия при дентална процедура: нова класификация на амнезията, характеризирана от неуспешно преобразуване на информация от междинната към късната фаза?“, е публикуван онлайн в сп. Neurocase на 15 май.
Според ново изследване на Калифорнийския университет в Лос Анджелис (UCLA) ...
В началото на май Бил Сингълтън, 68-годишен мъж от Баларат, Австралия, загубил контрол ...
Скоро бе извършена сложна процедура на деветгодишно момче с цел да се коригира рядка ...
Младите мъже са в по-голям риск от заболяване от орален рак в сравнение с други ...
Хирурзи в Саудитска Арабия открили твърда бяла маса в носа на 22-годишен младеж. Те ...
Анестезиран 18-годишен пациент почина наскоро след кореново лечение в дентален ...
Учени от САЩ откриха, че може би не е нужно да изхвърляме старата четка за зъби след ...
В районния съд в Дортмунд започна процес срещу двама мъже, обвинени в изнудване и в ...
Миналата седмица в Германия Медицинският съвет към Националната асоциация по ...
В много страни се увеличава броят на регистрирани нови случаи на гонорея сред мъжете....
Уебинар на живо
чт. 30 април 2026
2:00 (EET) Sofia
Dr. Renato Leonardo D.M.D.
Уебинар на живо
чт. 30 април 2026
8:00 (EET) Sofia
Уебинар на живо
нд. 3 май 2026
7:00 (EET) Sofia
Dr. Rickard Brånemark MSc, MD, PhD, Dr. Robert Gottlander DDS
Уебинар на живо
пн. 4 май 2026
3:00 (EET) Sofia
Уебинар на живо
вт. 5 май 2026
5:00 (EET) Sofia
Уебинар на живо
вт. 5 май 2026
7:00 (EET) Sofia
Уебинар на живо
вт. 5 май 2026
8:00 (EET) Sofia
Dr. Maximilian Dobbertin M.Sc
To post a reply please login or register