Този клиничен случай описва естетично лечение на предните зъби с помощта на фасети. Диференцираната дебелина на всяка фасета е получена въз основа на изключително минимално инвазивни препарации. Такива препарации са по-щадящи за целостта на емайла, отколкото препарациите за фасети, извършени директно върху зъба. Контролираната подготовка беше извършена през mock-up-а, създаден от wax-up-a, като целта е да се затворят разстоянията между предните зъби.
Доклад на клиничен случай
25-годишен пациент дойде в кабинета, за да разреши естетичен проблем, свързан с фронталните му зъби, а именно разстояния между зъбите. Това се беше превърнало в такъв проблем за него, че избягваше да показва зъбите си на снимки. Той имаше високи очаквания от лечението и желаеше пълно затваряне на диастемата и тремите.<
Пациентът беше в добро общо здравословно състояние и не съобщаваше за никакви медицински усложнения. Беше сигурен, че устната му хигиена е добра, което се потвърждаваше от факта, че няма кариеси.
Данни и диагноза
Проведени бяха интраорален преглед, тест за виталност на зъбите и сондиране, направени бяха периапикални рентгенографии и бе оценен първоначалният цвят на зъбите. Не бяха установени признаци или симптоми на пародонтално заболяване. Преди това пациентът е провел ортодонтско лечение, което е наложило екстракция на третите молари. При прегледа бе установена отлична клас I оклузия на кучешките и първите молари. Горночелюстната дъга се характеризираше с диастема и треми между централните и страничните резци. Диагнозата беше разстояния между резците след ортодонтска терапия.
План за лечение
Използваният метод на лечение има за цел да осигури по-добро запазване на зъбната тъкан, отколкото е възможно при конвенционалното изработване на фасети директно върху зъба. Този изключително минимално инвазивен подход ще бъде постигнат чрез mock-up, създаден за целите на напреднала естетична дентална медицина, позволяващ контролирана препарация, т.е. изпиляването е калибрирано според различните дебелини на mock-up-a. Тази основа ще се използва за създаване на полуиндиректни фасети за затваряне на пространствата (фасети тип IIB според Magne и Belser).¹
Лечение
По време на първата консултация бяха направени снимки (фиг. 1–3) и отпечатъци от алгинат на зъбните дъги. След фотографския анализ на случая бяха извършени необходимите естетически и функционални корекции чрез аналогова диагностична фаза с wax-up. Диагностичният восъчен моделаж бе пренесен в устата на пациента под формата на mock-up, който той тестваше няколко дни преди самата интервенция.
На следващия прием той бе използван за калибрирана препарация, т.е. изключително минимално инвазивна контролирана редукция на зъбите през mock-up-a.
Фиг. 1а, б Първоначалната ситуация. Зъби в интеркуспидация и зъби в протрузия, фронтален изглед.
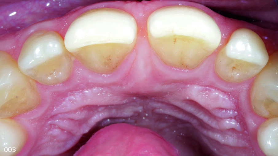
Фиг. 2 Първоначална снимка, показваща детайл от горната зъбна дъга.
Фиг. 3 Оклузална снимка на предния секстант.
За да се симулира възможно най-точно крайният резултат, както вече е видян на аналоговия восъчен моделаж, моделът с моделажа бе сканиран². За да се изработи mock-up-ът (фиг. 4а и 4б), бе направен силиконов ключ на восъчния моделаж (фиг. 4в). В силиконовия ключ беше инжектиран композит (Structur 3, VOCO), за да се създаде mock-up-ът. Той беше временно циментиран (Provicol QM Aesthetic, VOCO) в устата на пациента за няколко дни до интервенцията.
По време на следващата среща mock-up-ът влезе в ролята на водач за контролирана препарация. В mock-up-a бяха направени контролирани срезове, които се използваха за определяне на дълбочината на препарацията, а оттам и на дебелината на бъдещите фасети (фиг. 5). За осигуряване на ясна ориентация тези маркировки бяха отбелязани с молив (фиг. 6). Там, където оставаше остатъчен mock-up, зъбът остана непокътнат (изключително минимално инвазивна препарация). Само в зоните, където mock-up-ът беше напълно изпилен, имаше изборване на зъбната структура (фиг. 7). В сравнение с конвенционалната препарация за фасети, при която зъболекарят изпилява зъбната структура директно от самото начало, тази процедура позволява много по-консервативно отнемане на зъбни тъкани. Беше взето решение да не се променят латералните и протрузивното движение на челюстта.
Първата стъпка беше да се извършат препарации тип window или препарации тип А по Walls, Steele and Wassell³, което означава извършване на препарации само върху вестибуларната повърхност, без вземане във фаза и без редукция на инцизалния ръб. Бе оформена челна фаза в областта на режещия ръб с цел той да бъде покрит без вертикална редукция от палатинално. Доказано е, че при такова покриване на инцизалния ръб се постига по-висока преживяемост, отколкото при препариране на фаза от палатинално.⁵
Фиг. 4а1 Аналогов восъчен моделаж върху гипсовия модел, палатален изглед. Фиг. 4а2 Аналогов восъчен моделаж върху гипсовия модел, вестибуларен изглед. Фиг. 4б Силиконов ключ за оформяне на mock-up-а в композит за временното възстановяване.
Фиг. 5 Оперативна фаза, при която mock-up-ът служи като водач за изключително контролирани и консервативни препарации.
Фиг. 6 Ориентировъчни срезове, маркирани с молив за калибрирана препарация предимно за композита.
Фиг. 7 Премахнат mock-up с нанесена с молив маркировка, където препарацията ще продължи директно върху зъба (жертването на mock-up-а щади здрави твърди тъкани).
След като и последните препарации бяха направени (фиг. 8а), те бяха сканирани, с което започна дигиталната фаза на работния процес, която завърши с изработването на CAD/CAM фасети (M2 Teleskoper, Zirkonzahn). Фасетите бяха изработени от силно запълнен нанокерамично-хибриден материал (Grandio blocs, Shade A2, low translucency; VOCO; фиг. 8б).
След почистване подготвените зъби се изплакват и се подсушават с лека въздушна струя. Фасетите се поставят внимателно, като се упражнява лек натиск. Хроматичният ефект отговори на очакванията както на пациента, така и на лекаря (фиг. 9 и 10). Преди да бъдат завършени и полирани, фасетите, създадени с помощта на CAD/CAM технологията, бяха подложени на хроматична характеризация, за да може пигментацията (FinalTouch, VOCO) да бъде фиксирана под тънкия слой композит.
Кофердамът, използван за постигане на изолация, беше закрепен с помощта на специални цервикални клампи за резци (клампа № 212, Hu-Friedy; фиг. 11 и 12). Последва адхезивна обработка на повърхностите, които следва да бъдат залепени една към друга (вътрешните повърхности на фасетите и препарираните повърхности на зъбите). Като защитна мярка с оглед на следващите стъпки съседните повърхности, които не трябваше да бъдат покрити, бяха изолирани с помощта на PTFE лента.
Фиг. 8а Завършени изключително минимално инвазивни препарации без вземане във фаза, готови за дигитално сканиране. Фиг. 8б Първа фасета, изработена чрез дигитално фрезоване.
След това зъбните повърхности бяха обработени, първо чрез предварителна обработка с глицин на прах, който чрез микроабразия увеличава задържащия потенциал на бонда (фиг. 13). След това беше извършено ецване с 35% ортофосфорна киселина (Vococid, VOCO) за 20 секунди (фиг. 14). Киселината беше отстранена и изплакната в продължение на 20 секунди, а повърхността беше изсушена с въздушна струя, за да се получи матово тебеширенобял вид. Бе нанесен универсален адхезив (Futurabond U, VOCO), който бе втрит внимателно в продължение на 20 секунди с помощта на четка (Single Tim, VOCO; фиг. 15). След това разтворителят се изпарява старателно с въздушна струя в продължение на поне 5 секунди, за да се получи тънък, неподвижен и лъскав слой адхезив, който се полимеризира от различни посоки с помощта на мощна LED лампа (Celalux 3, VOCO) за 10 секунди всеки път в съответствие с инструкциите на производителя. По този начин се създаде матово-лъскава повърхност, която беше равномерно покрита с адхезив.
За предварителната обработка на вътрешните повърхности на фасетите беше извършено пясъкоструене с частици алуминиев оксид с размер 25–50 μm при налягане 1.5–2 бара, след което беше нанесен силан (Ceramic Bond, VOCO), който беше оставен да действа в продължение на 60 секунди и след това да изсъхва за 5 секунди. Фасетите бяха окончателно циментирани с помощта на двойнополимеризиращ универсален композитен цимент (Bifix QM, VODO; фиг. 16). Фасетите бяха поставени (фиг. 17) и фиксирани чрез полимеризация на маргинално ниво с помощта на Celalux 3 медиално и дистално от вестибуларната страна, последвано от медиална и дистална полимеризация от палаталната страна. За да се избегне образуването на кислороден инхибиращ слой и резултиращата от него непълна полимеризация, преди полимеризацията върху всички ръбове беше нанесен глицеринов гел (Liquid Strip, Ivoclar). С помощта на този гел за инхибиране на кислорода може да се постигне значително подобрение на адхезията. Глицеринът беше изплакнат и в края на времето за втвърдяване от приблизително 3 минути беше възможно да се пристъпи към отстраняване на излишния материал с помощта на метален инструмент и конец за зъби апроксимално. Апроксималните контакти бяха финално обработени с помощта на абразивни ленти.
Фиг. 9 Изпробване на прилягането на фасетата.
Фиг. 10 Фасети, изготвени с CAD/CAM технология, след характеризиране, шлифоване и полиране.
Фиг. 11 Изолиране на оперативното поле с помощта на кофердам, фронтален изглед.
Фиг. 12 Изолиране на оперативното поле с помощта на кофердам, оклузален изглед.
Фиг. 13 Изолиране с помощта на PTFE и изглед на песъкоструйнатите повърхности.
Фиг. 14 Ецване с ортофосфорна киселина върху субстрат, който все още е в рамките на емайла, благодарение на изключително минимално инвазивния подход.
Фиг. 15 Нанасяне на адхезив върху повърхностите, които трябва да се свържат.
Фиг. 16 Лутираща система Bifix QM (VOCO), приложена върху пънчето на зъб 21, и PTFE лента, покриваща съседните зъби.
Фиг. 17 Поставяне на фасетите.
След проверка на оклузията и нанасяне на необходимите корекции в съответствие с конвенционалните функционални схващания се извърши стандартно полиране с помощта на диамантени полиращи гуми (Dimanto, VOCO). Пациентът беше напълно удовлетворен от значителното подобрение на усмивката си (фиг. 18–22).
Дискусия
Въз основа на анализ на научната литература относно затварянето на диастеми и треми беше избран полудиректен подход с използване на нанохибридни композитни фасети⁶. Клиничната индикация за затваряне на диастема класифицира използваните в този случай фасети като тип IIB според класификацията на Madne-Belser¹. Тъй като фелдшпатните керамични фасети бяха извън бюджета на пациента, такава индиректна техника беше изключена. Директната техника на наслояване беше изключена, тъй като пациентът имаше високи очаквания относно естетическия вид. Беше решено да се използват фасети както на централните, така и на страничните резци, тъй като това би позволило да се получат по-хармонични относителни пропорции на размерите.
Восъчният диагностичен моделаж трябва първо да се пренесе в устата под формата на mock-up с двойна функция – като диагностичен прототип за проконтролиране на естетическите и функционалните аспекти, но и като работен макет за калибрирана препарация, т.е. като водач за контролирана, изключително минимално инвазивна редукция на зъбите⁷. Mock-up-ът представлява композитно временно възстановяване за извършване на обичайния тест за прилягане в устата и позволява незабавна комуникация с пациента, като се дава възможност да се тества поносимостта в устата няколко дни преди оперативната сесия. Тези временни конструкции, поставени на отделните зъби, впечатляват пациентите, тъй като осигуряват предварителен преглед в устата на естетическите резултати, които ще бъдат постигнати. В началните етапи на препариране на зъбите mock-up-ът за контролирана подготовка се калибрира въз основа на физическите размери на модела. При контролираната препарация временното възстановяване се разрушава постепенно, което води до по-минимално инвазивна препарация от тази, извършвана директно върху зъба. С помощта на специални калибрирани борери тази препарация осигурява възможно най-щадящите емайла дебелини и най-високи естетически и функционални характеристики. Mock-up-ът осигурява по-добър контрол на дебелината на фасетите, преди да се пристъпи към прецизен отпечатък и използването на дигитален дизайн за крайните фасети. Описаните протоколи се базират на авторитетни източници (Magne⁸) и на най-новата литература (Blatz и кол.⁹).
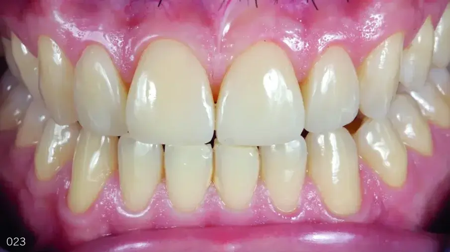
Фиг. 18 Краен резултат, фронтален изглед.
Фиг. 19 Краен резултат, десен страничен изглед.
Фиг. 20 Краен резултат, ляв страничен изглед.
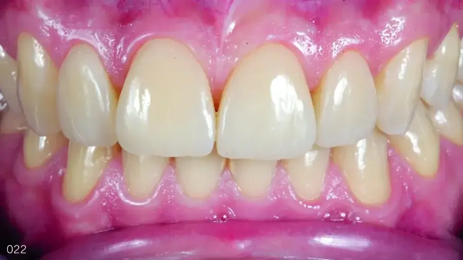
Фиг. 21 Зъби в интеркуспидация една година след лечението, фронтален изглед.
Фиг. 22 Зъби в протрузия една година след лечението, фронтален изглед.
Заключение
Постигната е пълна удовлетвореност на пациента. Успехът на процедурата се дължи на комбинацията от два фактора: минимална зъбна препарация и пълно затваряне на диастемата и тремите без неблагоприятни последици за формата, пропорциите или хроматичната интеграция.
Този случай показва, че по-малкото е по-добре. Всъщност подготовката на фасетите чрез използването на mock-up намалява биологичната жертва на зъба до минимум, като същевременно гарантира неговата функция и дългосрочна естетика. Този подход също така демонстрира как конвенционалните и дигиталните работни процеси могат да бъдат ефективно комбинирани.
To post a reply please login or register