Ново проучване от Бразилия сочи, че фактори като естественото хранене, влияещи върху развитието, са тясно свързани с развитието на емайлови дефекти при децата. Проучване, проведено сред повече от 200 деца в предучилищна възраст, откри значително по-голямо разпространение на такива дефекти сред тези, които не са били кърмени, и тези, чиито майки са били на по-малко от 24 години при раждането.
С цел да се определи разпространението на емайловите дисплазии и да се идентифицират рисковите фактори, свързани с тях, във временно съзъбие, учените от бразилски университет изследвали 104 деца с поне една зъбна повърхност, засегната от дисплазии, а също така и 105 здрави контроли. Децата са били на възраст между 3 и 5 години и са от Диамантина, град в Югоизточна Бразилия. Учените са провели интервюта с родителите или настойниците на децата.
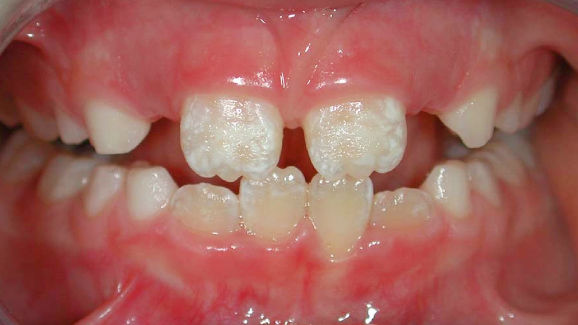
Най-често срещани били дифузните и локализираните форми на хипоминерализации с клиничен израз опацитет на емайла (54%) и хипоплазии (7%). В случаите на емайлов опацитет матриксът е секретиран с нормална дебелина, но отделни части не минерализират или матурират правилно. Така остават полета с недостатъчно минерално съдържание, което се проявява като жълтеникаво или кафяво оцветяване. Емайловите хипоплазии пък са свързани с намалена дебелина на емайла. Диспластичните зъби се свързват с повишено разпространение на зъбен кариес и засягат естетиката, особено при горните фронтални зъби.
Открита е връзката между липсата на кърмене и дисплазиите. Децата, които не са кърмени, имали повече емайлови дефекти в сравнение с останалите. Според учените това вероятно се дължи на недостиг на хранителни вещества по време на развитие на зъбните зародиши, например на калций, който нормално се осигурява посредством майчината кърма.
В допълнение, възрастта на майките, изглежда, има значение за развитието на зъбни дисплазии. В проучването деца, чиито майки са били под 24 години при раждането, по-често имали емайлови дефекти. Значение имал и месечният доход на домакинството. Дисплазиите се срещали най-вече при деца, чиито майки печелели по-малко от половината от минималната месечна заплата (303 щатски долара).
Учените предполагат, че младите майки с нисък социално-икономически статус са по-уязвими към усложнения по време на бременността заради трудния достъп до здравни грижи, което има за резултат преждевременно раждане и недоносени бебета. Двата фактора се свързват с наличието на дисплазии в предишни проучвания.
Изследването е публикувано в онлайн изданието на журнала Brazilian Oral Research.
Музикант и дентален лекар от Англия са разработили музикална формула, която ...
Скорошно проучване сред близо 200 деца с кариес показало, че нов метод за лечение на ...
Според експерти биофилмите обикновено се разглеждат като проблем, който трябва да ...
Според скорошно изследване за разграничаването на мъжете от жените помагат не само ...
Вторичният кариес е една от водещите причини за смяна на обтурации от дентални ...
С 800 милиона потребители на месец, YouTube се е превърнал в един от най-посещаваните ...
Ново изследване от Франция предполага, че бисфенол А (ВРА), химично вещество, ...
Стокхолм, Швеция: Резистентността към антибиотици като резултат от прекомерното им ...
Здравните организации вече предупредиха за нуждата от ограничаване употребата на ...
Учени от денталния факултет към Indiana University в момента разработват нови биоматериали, ...
Уебинар на живо
пт. 22 май 2026
5:00 (EET) Sofia
Dr. Paweł Aleksandrowicz PhD
Уебинар на живо
пт. 22 май 2026
6:00 (EET) Sofia
Уебинар на живо
пт. 22 май 2026
7:00 (EET) Sofia
Prof. Dr. Ali Murat Kökat
Уебинар на живо
пт. 22 май 2026
8:00 (EET) Sofia
Уебинар на живо
пт. 22 май 2026
9:00 (EET) Sofia
Уебинар на живо
вт. 26 май 2026
7:00 (EET) Sofia
Уебинар на живо
вт. 26 май 2026
9:00 (EET) Sofia
To post a reply please login or register