Search Dental Tribune

Статии

Филтър

Износване на зъбите и бруксизъм: Скритата борба в денталната медицина

Когато става въпрос за износване на зъбите, има две основни етиологични причини, с ...

запази

ADA обявява важни промени в правилата за безопасност при рентгенография

ЧИКАГО, САЩ: Експертна комисия, създадена от Съвета по научните въпроси на ...

запази

„Фотографията е абсолютно необходима за съвременната дентална практика“

Д-р Mahfuz Rahman е зъболекар и основател на Frisco Dental Studio в Тексас, САЩ. Той също така е ...

запази

Създателите на Yomi набират средства в размер на няколко милиона долара за роботизирана дентална система

МАЯМИ, САЩ: Yomi представлява роботизирано хирургично устройство, разработено от ...

запази

Изследване откроява ролята на специалистите по дентална медицина при скрининга на пациенти за хронични заболявания

ЛИВЪРПУЛ/ПЛИМЪТ, Обединеното кралство: Връзката между здравето на устната кухина и ...

запази
advertisement

Ново проучване показва, че електрическата четка за зъби е особено полезна за денталната грижа при децата

Йерусалим, Израел: Електрическите четки за зъби, особено тези с ...

запази

Предай нататък: Дигиталните технологии дават възможност за по-лесното изработване на снемаеми зъбни протези

Преминаването от аналогово към дигитално изработване на зъбни протези има ...

запази

Студентите по дентална медицина смятат, че изкуственият интелект трябва да бъде включен в учебната програма

ЛАКНАУ, Индия: Изкуственият интелект (ИИ), бързо развиваща се технология, става все ...

запази

Code Health TV с първи по рода си Бал на лекарите „Благодарим ви, че ви има!“

Единствената здравна телевизия в България Code Health TV, каза „Благодаря!“ на хората със ...

запази

Известният ортодонт д-р Алекс Дитмаров се присъединява към журито на конкурса "Smile of the Year"

Журито за изданието на конкурса Smile of the Year през 2024 г. се състои както от част от ...

запази

Изследователи разработват нова стратегия за лечение на синдрома на парещата уста с капки капсаицин

Осло, Норвегия: Болезненото състояние на синдрома на парещата уста има сходни ...

запази
advertisement

Метформинът може да помогне за предотвратяването на орални и системни заболявания при пациенти с пародонтит

ЛОНДОН, Обединеното кралство: Фактори като глюкозен метаболизъм, хранене, ...

запази

ROOTS SUMMIT 2024: Атина се подготвя да бъде домакин на водещата ендодонтска конференция

АТИНА, Гърция: След успешното събитие в Прага, Чехия, през май 2022 г., в което участваха ...

запази

Създаде се Българско Ортодонтско Алайнер Общество

На 16.09.2023, по време на срещата на Българско Ортодонтско Общество, се проведе ...

запази

MASERATI България в партньорство със SMILE OF THE YEAR със специални условия за дентални специалисти

Maserati България избра да бъде за втора поредна година генерален партньор на конкурса ...

запази
advertisement

"Без митове и отвъд догмите" - семинарът, предлагащ специфични протетични решения върху импланти предстои този месец!

Практически идеи и съвети за естетични и функционални едночастови и многочастови ...

запази

„Мислим отвъд зъболечението“: Проучване помага на лекарите да идентифицират синдрома на Сьогрен

ндианаполис, САЩ: Синдромът на Сьогрен е хронично автоимунно заболяване, което може ...

запази

Форумът на FDI за млади зъболекари насърчава бъдещите лидери в денталната медицина

Сидни, Австралия: За да се свърже с младите специалисти и студенти по дентална ...

запази

Отбелязване на 35 годишнина от създаване на компанията Alpha-Bio Tec

На 11.11.2023 г. компанията Alpha-Bio Teс отбелязва 35 си годишнината в балните зали на София ...

запази
advertisement

Симпозиумът на световноизвестната група Bio-Emulation идва в България на 4 и 5 ноември

На 4 и 5 ноември в Интер Експо Център в София ще се проведе конференцията Bio-Emulation! ...

запази

„Медикус, Дента, Галения“ ще покаже новости в медицината и зъболечението от 12 до 14 октомври в Пловдивския панаир

За поредна година специализраното изложение „Медикус, Дента, Галения“ ще събре на ...

запази
advertisement

Sofia Dental Meeting 2023 Ви очаква между 5 и 7 октомври в Гранд хотел Милениум!

От 5 до 7 октомври в хотел „Милениум“ в столицата за шестнадесети пореден път ...

запази

Зъболечението е сред най-предпочитаните специалности през 2023 г.

ДЖЪРСИ СИТИ, НЮ ДЖЪРСИ, САЩ: В бързо развиващия се пейзаж на висшето образование ...

запази

Използване на дигитален софтуер за ефективно лечение на коренови канали

Анатомията на кореновите канали често е сложна. Традиционните двуизмерни ...

запази

Налично е ново клинично ръководство относно лечение на кариеси

ЧИКАГО, САЩ: С цел подобряване вземането на клинични решения от лекарите по дентална ...

запази
advertisement

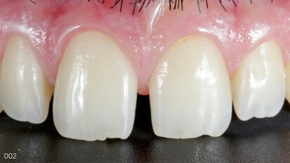
Изключително минимално инвазивна препарация за фасети през mock-up-a в естетичната област

Този клиничен случай описва естетично лечение на предните зъби с помощта на фасети. ...

запази

EFP публикува ръководство за превенция и лечение на периимплантните заболявания

БРЮКСЕЛ, Белгия: Европейската федерация по пародонтология (EFP) обяви ново ...

запази

Дентална клиника, адаптирана към сетивните възприятия, намалява стреса при деца с аутизъм

Лос Анджелис, САЩ: Посещенията в зъболекарския кабинет могат да бъдат повод за силен ...

запази

Забраната на зъбната амалгама във Филипините трябва да бъде наложена, заявява контролният орган

Манила, Филипините: Безопасността на употребата на амалгама в устата е една от ...

запази
advertisement
advertisement