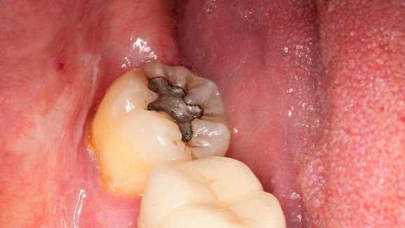
Международната академия по орална медицина и токсикология (IAOMT), здравна организация с нестопанска цел, работеща за дентална медицина без живак, публикува нов доклад относно безопасността на денталната амалгама. Докладът предполага, че обтурациите от амалгама могат да причинят отравяне с живак при генетически уязвими популации.
Според IAOMT денталната амалгама съдържа до 50% живак. Когато преди време се е смятала за инертна, здравните организации по света, включително FDA, заявяваха, че денталната амалгама освобождава ниски нива от елементни живачни пари. Оттогава насам многобройни проучвания са опитвали да определят дали тези нива са безопасни.
Опити върху хора и животни показват, че живачните изпарения от амалгама бързо се абсорбират и разпределят в тялото, концентрирайки се в органите, и преминават в майчината кърма. В допълнение някои проучвания предполагат, че податливостта към живачната токсичност варира между индивидите, което се определя от различни гени. В доклада си IAOMT заявява, че в последното десетилетие са идентифицирани повече от шест генетични вариации, които се свързват с повишена податливост към живачната токсичност от дентална амалгама. Не всички гени за възприемчивост обаче са идентифицирани към настоящия момент.
„Тези открития могат да помогнат да се обясни полемиката за амалгамата – защо изглежда, че при някои хора има увреждания, свързани с амалгамените им обтурации, докато при други не се наблюдават, и защо проучванията върху амалгамата показват противоречиви резултати, довеждащи до заключения на отговорните органи, че продуктът е безопасен“, обясняват от IAOMT в свое прессъобщение.
Днес усилията по цял свят целят постепенно намаляване и дори елиминиране на живачната дентална амалгама. В Норвегия и Швеция например вече е забранена употребата на дентална амалгама, а Германия и Канада съветват да не се прилага при бременни жени и деца. Есента в Япония беше подписана Конвенцията от Минамата върху живака – международна спогодба, предложена от Програмата за околната среда на ООН за намаляване на емисиите от токсичния метал и освобождаването му във въздуха, земята и водата и за спиране на производството на продукти, съдържащи живак. От октомври 2013 година 94 страни са подписали конвенцията.
Докладът, озаглавен „Новата наука поставя под въпрос старото схващане, че живачната дентална амалгама е безопасна“, бе публикуван във февруарския брой на Biometals journal.
Девет от десет случая на рак биха могли да бъдат предотвратени, ако се премахнат ...
Американски учени откриха, че някои разновидности кератин (протеини, които са ключов ...
Изследователи от университета Case Western Reserve в САЩ откриха, че остатъчните продукти от ...
Пародонтални патогени, като Porphyromonas gingivalis и Fusobacterium nucleatum, произвеждат пет ...
Ново изследване от САЩ предполага, че по-високите нива на кариесогенни бактерии в ...
Учени от САЩ, които изследвали степента, в която оралното здраве е свързано с ...
Идентификацията на белезите от захапката е общоприет метод в съдебната медицина за ...
Според национално проучване, поръчано от Асоциацията на денталните групи (ADG), ...
Проучване, проведено в САЩ, установило, че ваксината срещу човешкия папиломавирус (HPV)...
Изследователи от Факултета по дентална медицина към Нюйоркския университет ...
Уебинар на живо
чт. 30 април 2026
2:00 (EET) Sofia
Dr. Renato Leonardo D.M.D.
Уебинар на живо
чт. 30 април 2026
8:00 (EET) Sofia
Уебинар на живо
нд. 3 май 2026
7:00 (EET) Sofia
Dr. Rickard Brånemark MSc, MD, PhD, Dr. Robert Gottlander DDS
Уебинар на живо
пн. 4 май 2026
3:00 (EET) Sofia
Уебинар на живо
вт. 5 май 2026
5:00 (EET) Sofia
Уебинар на живо
вт. 5 май 2026
7:00 (EET) Sofia
Уебинар на живо
вт. 5 май 2026
8:00 (EET) Sofia
Dr. Maximilian Dobbertin M.Sc
To post a reply please login or register