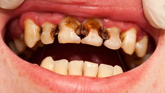
Американски учени откриха, че някои разновидности кератин (протеини, които са ключов компонент на космената структура) влияят също така и върху формирането на зъбния емайл. В наскоро публикувано проучване те показват, че участници с нарушения в общото окосмяване, дължащи се на специфични мутации на гена за тези протеини, имат повишен брой кариеси.
За да установят връзка между нарушенията в окосмяването и податливостта към зъбен кариес, учените използват данни от генетични и орални прегледи, проведени на 386 деца и 706 възрастни. За своето проучване те се фокусират върху протеина кератин 75, тъй като мутациите в гените за него са свързани с някои нарушения при окосмяването, подутини и упорити обриви, причинени от бръснене.
Учените наблюдават, че участници, носещи мутации на кератин 75, имат повишен брой кариеси. Те откриват, че тези участници имат променени емайлови структури и показват значително намаляване на твърдостта на емайла, предполагайки, че косменият кератин стабилизира емайловите туфи и възли, за да подкрепи емайловите възли по време на тяхното образуване. Това наподобява функциите на кератина в укрепването на косъма. По този начин те стигат до заключението, че туфите и възлите, дестабилизирани от присъствието на мутантния протеин, имат намален капацитет за защита срещу кариес.
Учените вярват, че тези разкрития могат да помогнат при развитието на нови стратегии за борба срещу кариеса. Зъбният кариес засяга 60–90% от децата в училищна възраст и почти 100% от възрастните по цял свят. Според последните данни, предоставени от Центровете за контрол и превенция на заболяванията, само в Съединените щати почти 16% от децата и около 24% от възрастните имат нелекуван кариес.
Проучването, озаглавено „Мутации на космения кератин в зъбния емайл увеличават риска от зъбен кариес“, бе публикувано онлайн на 27 октомври в Journal of Clinical Investigation. То бе проведено в Националния институт за лечение на артрит, опорно-двигателни и кожни заболявания в сътрудничество с Университета в Питсбърг.
Въпреки че е известно, че абнормната функция на стволовите клетки допринася за ...
Хроничното възпаление на лигавицата, причинено от неподходящи зъбни протези, може да...
Наскоро учени идентифицираха мезенхимни стволови клетки, които имат капацитета ...
Проведено обширно проучване показа, че забавеното оздравяване след хирургични ...
В наскоро проведено проучване американските учени откриват, че определени щамове ...
Според ново изследване жените след менопауза, податливи на фрактури на костите, може ...
Пациенти с тумори в лицево-челюстната област, които претърпяват лъчелечение, ...
Международната академия по орална медицина и токсикология (IAOMT), здравна ...
В днешно време видеоселфитата, заснети със смартфон, са популярен начин за ...
Ново изследване от САЩ предполага, че по-високите нива на кариесогенни бактерии в ...
Уебинар на живо
чт. 30 април 2026
2:00 (EET) Sofia
Dr. Renato Leonardo D.M.D.
Уебинар на живо
чт. 30 април 2026
8:00 (EET) Sofia
Уебинар на живо
нд. 3 май 2026
7:00 (EET) Sofia
Dr. Rickard Brånemark MSc, MD, PhD, Dr. Robert Gottlander DDS
Уебинар на живо
пн. 4 май 2026
3:00 (EET) Sofia
Уебинар на живо
вт. 5 май 2026
5:00 (EET) Sofia
Уебинар на живо
вт. 5 май 2026
7:00 (EET) Sofia
Уебинар на живо
вт. 5 май 2026
8:00 (EET) Sofia
Dr. Maximilian Dobbertin M.Sc
To post a reply please login or register